Tibiocalcaneal Arthrodesis Using Blade Plate Fixation

Richard Alvarez, Delan Gaines, and Mark E. Easley a fusion through a Charcot joint was impossible. After 1990, new techniques evolved, starting with blade plate fusions and soon followed by rods and Ilizarov techniques. All are important methods of solving these complicated problems.
DEFINITION
- Because of the increased life expectancy of diabetic patients, neuropathic arthropathy is becoming a more prevalent problem.
-
Resulting severe ankle and hindfoot deformities frequently are non-braceable. Bearing weight on such deformities can result in abnormal ipsilateral stresses on the knee, leg, ankle, hindfoot, and forefoot, causing ligament laxity, stress fractures, and recurrent ulcerations leading to cellulitis, abscess, and osteomyelitis ( FIG 1 ).
-
Each has its place in treating severe hindfoot and ankle deformity; however, the blade plate offers immediate deformity correction, rigid fixation, and skin closure in patients with talar fragmentation, avascular necrosis, or resorption.
-
An additional problem for which the blade plate can be helpful is simultaneous tibiotalar and subtalar traumatic arthritis, frequently caused by talar fractures and untreated varus or valgus adult-acquired hindfoot problems.
-
Before the 1990s, efforts in the reconstruction of these deformities often resulted in a below-knee amputation.
-
Reconstructive efforts have included pan-talar and tibiotalocalcaneal fusions. These required an intact talus, adequate vascularity, and no infection. The prevailing feeling was that
PATHOGENESIS
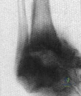
- Most commonly, the severe ankle and hindfoot deformity with talar fragmentation and resorption is seen in diabetic neuropathy. Other causes of Charcot arthropathy include tabes dorsalis, Hansen disease, syringomyelia, alcoholic neuropathy, Charcot-Marie-Tooth disease, lumbar radiculopathy, peripheral nerve lesions, Riley-Day syndrome, renal dialysis, congenital insensitivity to pain, and intra-articular steroid injections. Similar changes on radiographs can be seen in inflammatory arthritis, and in posttraumatic arthritis with talar avascular necrosis ( FIG 2 ).
-
Although the exact mechanism of neuropathic arthropathy is unknown, the presence of peripheral neuropathy (autonomic, sensory, and motor) is required.
-
The sympathetic nerves supply the small vessels, sweat glands, sebaceous glands, and the erector pilae muscles of the hair follicles. The deficit of autonomic nervous system nerves results in the dry, flaky, warm skin with decreased skin appendages. However, more importantly, the loss of vasomotor tone produces a dramatic increase in the peripheral circulation, with the same effect as a surgical sympathectomy: warmth, vasodilation, and increased blood flow through the involved extremity.
A
-
In the past, medical teaching was that complete anesthesia of the feet and/or legs had to be present for the Charcot joint and ulcerations to occur. However, patients frequently retain some sensation. Sensory neuropathy includes both skin sensations (eg, touch, pain, pressure) and proprioception. Decreased proprioception results in balance and gait difficulties that potentially result in injury from falls or missed steps. These injuries can include wounds, ligament injuries, and fractures. Because of the decreased sensation, injuries can be perceived as minor by patient, doctor, and podiatrist. However, for the diabetic patient, in the face of continued pain and swelling, a Charcot joint should be considered.
-
Motor neuropathy involves weakness of extrinsic and intrinsic muscles of the leg and foot. The relative disproportionally stronger plantarflexors of the ankle (greater cross-sectional area than anterior muscles) inevitably lead to a tight heel cord. Abnormal stresses of a tight heel cord predispose the foot both to neuropathic ulcers, specifically under the interphalangeal
B


FIG 1 • A. Unbraceable Charcot ankle and hindfoot deformity, even with a Charcot retention orthotic walker (CROW). B. Lateral radiograph of Charcot neuroarthropathy of the ankle.
A B bone formation with smoothing of fracture fragments, and fibrous ankylosis. The fixed deformity is usually associated with bony prominences. In the hindfoot, the patient may walk on the medial malleolus.
joint of the great toe, first metatarsal head, and fifth metatarsal heads, and to tarsometatarsal, Chopart, or hindfoot collapse.
- In the hindfoot, the tight heel cord is also responsible for increased stress on the talus, by not allowing normal rotation of the tibia over the talus. The tibia, instead of rotating over the talus, crushes down into the talar body, fragmenting the talus by the so-called nutcracker effect. This devastating deformity is usually not braceable and often includes a large ulcer at the tip of the medial malleolus ( FIG 3 ).
PATIENT HISTORY AND PHYSICAL FINDINGS
- Most cases of neuropathic arthropathy occur in patients with type 2 diabetes mellitus. Typically, the patients are obese, and many do not realize they have diabetes mellitus. Ten percent of these newly diagnosed patients will already have peripheral vascular disease, cardiovascular disease, cerebrovascular disease, and retinopathy. Many who are aware of their diabetes maintain poor control of their glucose level due to lack of information or lack of compliance.
NATURAL HISTORY
- Eichenholtz described three stages of development for the Charcot joint, and to this Shibata added the stage 0.
-
Stage 0 (Shibata): Clinical signs of pain or swelling similar to what is seen in ankle and midfoot sprains. An overusetype syndrome or minor fracture may preclude stage I. The presence of calcified vessels on a radiograph should arouse suspicion.
-
The diabetic with peripheral neuropathy typically has dry, flaky, hairless skin distally. The extremity may exhibit swelling, redness, and warmth. Patients complain of dysesthesia (eg, stinging, burning, cramping) rather than anesthesia. Stage 0 patients may complain of sprain-type pain and deep joint or deep bone pain, with or without a clear history of injury. Early, there may be little if any swelling. Later, as stage I approaches, swelling occurs. As the peripheral motor neuropathy progresses, Achilles contracture occurs. The appearance of a high arch in the foot actually may represent intrinsic muscle wasting. Early on before collapse occurs, the foot appearance is similar to that seen in Charcot-Marie-Tooth disease. Pulses in the extremity are usually present ( FIG 4 ).
-
Stage I: In this “fragmentation” stage, clinically the joint appears hot, red, and swollen. Fragmentation, dissolution, or dislocation can appear on radiographs.
-
Stage II: The “coalescence” stage begins the reparative process with reduction of clinical signs. There may be residual inflammation, but without the severe warmth and edema. New bone formation appears on radiographs.
-
Stage III: In the “consolidation” stage the joint usually heals enlarged and deformed. Skin temperature and edema eventually decrease to normal. Radiographs show sclerotic
Normal rotation of tibia over talus not allowed. Tibia forced into talar body.
Hindfoot will go into severe non-braceable varus or valgus. Nutcracker effect on talus causes talus to fragment.
Tight heel cord Stable Pivot point distal



FIG 3 • “Nutcracker effect” theorized to lead to talar fragmentation in Charcot neuroarthropathy.
-
The examiner must rule out infection, especially in a patient with ulceration where deep infection (ie, abscess or osteomyelitis) must be considered. When in doubt, the physician should look at the patient: patients with osteomyelitis look and feel sick. Typically, if a Charcot extremity is elevated above the patient’s heart, there is a decrease in redness and swelling after about 10 to 15 minutes (Brodsky test) compared with the infected extremity, which will remain unchanged. If there is no break in skin integrity, infection is unlikely.
-
A high index of suspicion is necessary to initiate treatment while the patient is still in stage
-
Patient compliance may be an issue. Risk factors for noncompliance include age, obesity, poor proprioception, and debilitation.
-
The Charcot joint should be immobilized and elevated to reduce swelling. No weight bearing should be allowed until swelling and redness are resolved. The gold standard is totalcontact casting (TCC) that should be changed weekly until stage III is reached. A Charcot rehabilitation orthotic walker (CROW) can be used once the limb is in stage II. At stage III, a custom ankle–foot orthosis (AFO) accommodates the resultant deformity.
-
The physical examination should include:
-
A comprehensive neurologic evaluation using SemmesWeinstein monofilament test, which indicates protective sensation
-
However, if the deformity is great, it may not be braceable. The brace may cause more soft tissue breakdown. Surgery becomes necessary to make the extremity braceable. The amount of talar body fragmentation and resorption with ensuing varus or valgus varies. Ulceration at the tip of the medial malleolus or lateral malleolus warrants a trial of nonoperative CROW bracing or TCC. Ideally, if wound healing can be accomplished and maintained, nonoperative management can be continued for the hindfoot. This most likely will be a CROW or molded solid ankle bivalved open AFO and a rocker shoe. However, most of these deformities are so severe that salvage surgery becomes necessary in an effort to save the extremity.
-
A vascular examination: Palpating pulses may be challenging with deformity. The threshold should be low to use a Doppler ultrasound or obtain noninvasive vascular studies.
-
Skin condition examination: The skin should be in satisfactory condition, to allow deformity correction. Even with complete or partial talectomy, correcting severe valgus deformity via lateral approach is risky. If the skin is suspect in valgus deformity and the heel is realigned, then skin perfusion may be compromised. IMAGING AND OTHER DIAGNOSTIC STUDIES
SURGICAL MANAGEMENT
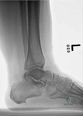
- Radiographs showing calcified vessels may be an early warning of impending neuropathic problems. In fact, the surgeon must beware of a routine ankle fracture that has undergone an open reduction and internal fixation if calcified vessels are present on the radiograph. Often, the fracture falls apart and metal breaks with early range of motion and weight bearing. It is best to treat these two to three times longer with nonweight bearing and immobilization ( FIG 5 ).
-
The surgical goal of correcting the alignment to make the foot and leg braceable can be achieved with a fibrous union, although bony union is preferable.
-
There are four indications:
-
Often, Charcot joints are confused with infection. Monitoring systemic clinical and laboratory markers of infection is important. However, a bone biopsy with a large-bore needle under fluoroscopy can quickly rule out osteomyelitis. DIFFERENTIAL DIAGNOSIS
Preoperative Planning
- Patients must commit to 5 to 8 months of non–weight-bearing and must understand that complications can occur, such as incomplete healing, infection, hardware failure, and loss of correction. Amputation must be accepted as a possible consequence of failure of the procedure. Medical clearance should be obtained from the patient’s internist or diabetologist. Emphasis should be that the patient must have strict control of blood glucose both preoperatively and in the postoperative healing period. Nutrition is, therefore, important.
-
Posttraumatic arthritis
-
Inflammatory arthritides
-
Charcot neuroarthropathy NONOPERATIVE MANAGEMENT
-
Goals of treatment are to achieve the third stage of bony healing, with as little resultant deformity as possible, and to minimize and treat soft tissue breakdown and ulcerations.
-
If there is a question of adequate circulation, even if pulses are present, a toe-level Doppler index or transcutaneous oxygen index at the first web space should be obtained; a reading greater than 0.45 predicts a 96% healing rate. Successful revascularization by a vascular surgeon may be necessary to reach the appropriate pressure.
-
The presence of an ulcer is not a contradiction to this salvage as long as it is clean. If there is a question of infection, joint aspiration and talar biopsy should be acquired before proceeding.
-
Absolute contraindications to hindfoot salvage include a patient who smokes, a patient who cannot comply with postoperative recommendations, or the presence of a deep abscess or osteomyelitis. A good indicator of patient compliance can be obtained during preoperative immobilization in a non–weightbearing cast or CROW.


FIG 5 • Calcified vessels commonly seen radiographically in diabetics.
-
Non-braceable deformity
-
Chronic ulceration secondary to pressure from deformity not responding to bracing
-
Adequate circulation (usually not a problem)
-
Alternative to amputation
Positioning
- The patient is placed in the lateral decubitus position with operative side up. Imaging should be checked to ensure the ability to obtain AP and lateral views of the ankle and an axial view of the hindfoot.
-
The skin is prepared with tincture of iodine and alcohol solution, as Betadine paint prevents Tegaderm from sticking and effectively marking the skin incision.
-
The extremity is draped above the knee. The surgeon must make sure that the anterior superior iliac spine can be palpated through the drapes.
-
Ulcers are covered with Tegaderm to isolate them from the rest of the surgical field ( FIG 6 ).
INCISION
- Make a curvilinear incision over the distal 14 cm of the fibula and extend the incision over the lateral calcaneus, curving anterior.
-
Try to incorporate previous incisions when possible if they are less than 2 years old.
-
Developing a full-thickness soft tissue flap and retracting with skin hooks are particularly important in this patient population.
-
In patients with neuropathy, sacrificing the sural nerve as it crosses the field helps avoid excessive dissection and skin retraction.
-
A longer incision can be made to reduce skin retraction forces.
-
Strip only the amount of periosteum needed to expose bone for cuts and fixation ( TECH FIG 1 ).
BONY EXCISION
- Once the fibula is exposed, the distal 10 to 14 cm of fibula may be excised using an oscillating saw. The fibula will serve as autograft. Take care to avoid damaging the perforating peroneal or anterior tibial arteries during the dissection.
- Excise the remaining talar body fragments. Preserve the remaining talar head and neck ( TECH FIG 2 ).
BONE GRAFT PREPARATION
- If the fibula is associated with any ulcerations, autograft from other sites or allograft can be used.
-
Use a bone mill to morselize the fibula to 4-mm pieces.
-
If necessary, the autograft harvested from the fibula can be mixed with 4-mm cancellous chips.
-
Combine the autograft and allograft combination with tobramycin (400 mg) and vancomycin (500 mg) powder.
-
The antibiotic bone graft mixture is to be packed between the bony surfaces and to the anterior, posterior, medial, and lateral aspects of the tibia and calcaneus to facilitate an extra-articular fusion in addition to the intra-articular fusion.
-
Tobramycin and vancomycin levels are not drawn as they do not reach systemic therapeutic levels ( TECH FIG 3 ).




TECH FIG 3 • Our routine allograft bone for tibiocalcaneal arthrodesis. Note the addition of antibiotic powder to the graft (we typically use vancomycin and tobramycin).
PREPARING ARTICULAR SURFACES
- Drennen’s principles for fusing neuropathic joints
-
The anterior tibia will sit against the remaining talar neck and head. It can be slightly flattened with a saw or burr. Denude the calcaneus articular surfaces of cartilage, maintaining as much subchondral bone as possible. The posterior facet may need slight flattening so the tibia will sit stable on the calcaneus with the anterior tibia resting against the talar neck.
-
Remove all cartilage and debris.
-
Remove all sclerotic bone down to bleeding, wellvascularized bone.
-
Fashion congruent surfaces for apposition.
-
Rigid fixation
-
Complete débridement of all synovial and scar tissue
-
Cut the distal tibial surface flat with an oscillating saw and contour it with a large burr. Take care to maintain as much length as possible. The medial malleolus can be denuded of articular cartilage with a curette and a burr ( TECH FIG 4 ).
-
Drill surfaces with a 3.2-mm bit to make holes in the subchondral bone of the calcaneus, the neck of the talus, the anterior tibia, and the pilon to provide channels for revascularization. Surfaces should be stable but not necessarily flat, as gaps can be filled with bone graft.
A B



TECH FIG 4 • Sawbones model demonstrating preparation of the arthrodesis site. A. Tibial plafond preparation, including medial malleolus. B. Calcaneal preparation. C. Preparation of the anterior tibia to include an arthrodesis to residual talar head and neck.
C STABILIZATION
- The deformity should be reduced so that the tibia sits flat on the calcaneus and the talar neck is flush to the anterior tibia. The foot should be plantigrade, at 90 degrees with respect to the leg and aligned with respect to the anterior superior iliac spine, anterior tibia tubercle, and second toe. The hindfoot should be placed in 5 degrees of valgus, with 5 to 10 degrees of external rotation of the foot.
-
Hold the alignment of the tibia on the calcaneus and the anterior tibia on the neck of the talus with the 2.8-mm guide pins for the cannulated 6.5or 7.3-mm screws. Select an area at the lateral calcaneus at the junction of the middle and distal thirds, no less than 1 cm above the plantar cortex of the calcaneus and in line with the lateral tibia shaft. It is important that the plantar cortex of the calcaneus remain intact.
-
Use AO guide pins to hold the reduction. Place one 2.8-mm guide pin from the anterior distal tibial metaphysis into the posterior calcaneus. Place one 2.8-mm guide pin from the posterolateral distal tibial metaphysis into the talar head and neck. This pin may be advanced into the navicular if more purchase is needed. The pins serve as guides for 7.3-mm AO screws once the plate is fixed.
-
Before the angled blade plate can be inserted into bone, a channel must be precut with the T profile seating chisel for the PCBP.
-
To do this, slide the base of the condylar blade guide (this subtends an angle of 85 degrees for the 95degree angle of the PCBP) in the slot above the triple drill guide. Place this so that the 85-degree-angled plate guide portion of the condylar blade guide aligns with the tibia and the three-hole drill guide sets at the lateral calcaneus preselected entry point for the blade.
-
Preparing for placement of the pediatric AO condylar blade plate
-
Place a pediatric blade plate laterally on the calcaneus near the posterior facet in line with the tibia. To do this, select the entry point for the blade plate at the junction of the lower and middle thirds of the calcaneus, at least 1 cm above the plantar cortex of the calcaneus.
-
Drill three holes with the 4.5-mm drill bit no more than 1 cm deep.
-
Although rarely needed, the plate can be contoured to the lateral tibia with the table plate bender.
-
Use a router or rongeur to convert the drill holes into a slit.
-
The 95-degree-angled pediatric condylar blade plate (PCBP) has a blade with a T profile.
-
To receive the shoulder of the PCBP, bevel the slit hole proximally a few millimeters. This prevents shattering of the lateral calcaneal cortex.
-
The plate portion has varying lengths depending on the length needed to span. We have selected the fivehole plate with a 40-mm blade to traverse the width of the calcaneus. A longer plate may be necessary in
-
To cut the channel into the calcaneus, slide the seating chisel into the slot of the seating chisel guide with the adjustable flap to go proximally and the T profile
A
C


TECH FIG 5 • A. Typical fixed-angle blade plate used for tibiocalcaneal arthrodesis. B. Chisel used to create slot in calcaneus to insert blade plate. C. Compression device for the laterally applied blade plate. (continued)
B fusions where the talus body is preserved (ankle and subtalar fusions) ( TECH FIG 5A ).
Fibula AO tension device Lateral aspect of medial malleolus trimmed, if necessary 95° condylar plate Calcaneus
D E distally toward the plantar calcaneus. The angle between the flap and the body of the seating chisel guide may be set with a triangular guide on the PCBP and maintained by tightening the screw with a screwdriver ( TECH FIG 5B ).
-
At this point, bone graft can be added to fill voids between the tibia and calcaneus and the anterior tibia and neck of the talus.
-
Fix the articulated tension device to the tibia shaft and apply axial tension to mid-green.
-
This angle should be 85 degrees for the 95-degree PCBP (remember, this subtends an angle of 95 degrees with the tibia shaft). Now align the flap with the tibia and the chisel in the slot. The flap should align flat with the lateral tibia and the chisel handle 90 degrees to the lateral wall of the calcaneus ( TECH FIG 5C ).
-
Avoid overcompression with the tension device so that the calcaneus is not pulled into too much valgus. Compression can also be achieved with the plate’s dynamic compression holes.
-
Fix the plate to the tibia with 4.5-mm cortical screws (6.5-mm cancellous screws may be needed in the distal tibia depending on screw purchase).
-
Hammer the chisel several centimeters and withdraw until the medial cortex is penetrated.
-
Use the previously placed 2.8-mm guide pins for placing 6.5or 7.3-mm screws for the anterior tibia into the neck and head of the talus (navicular for more purchase).
-
Using the plate holder, insert the PCBP into the precut channel to within 5 mm.
-
Remove the plate holder and use the impactor to drive and seat the plate into the bone.
-
A screw is placed from the anterior tibia into the talar calcaneus for a more rigid construct ( TECH FIG 5D,E ).
Fixation
- Finally, use the guide pins to place a 6.5or 7.3-mm cannulated cancellous screw from the posterior tibia into the head of the talus to increase rigid fixation and further control rotation and from the anterior tibia into the tuberosity of the calcaneus ( TECH FIG 6 ).
Calcaneus A TECH FIG 6
- A. Blade plate and screw fixation construct for tibiocalcaneal arthrodesis. (continued)



TECH FIG 5 • (continued) D, E. Compression device. D. Initial alignment guide for the compression device. E. Compression device in place.
Fibula AO tension device Lateral aspect of medial malleolus trimmed, if necessary 95° condylar plate
C D B
E F CLOSURE
- Close the wound in layers with 2-0 and 3-0 absorbable sutures.
-
The wound is dressed with Adaptic soaked in Betadine solution followed by fluff gauze and a well-padded cast applied from the tips of the toes to the tibial tubercle.
-
The skin may be closed loosely with 4-0 nylon or skin staples.
-
If skin closure is tight, peroneal tendons may be excised to facilitate closure. However, with a curvilinear incision this will rarely be needed.
TIBIOCALCANEAL ARTHRODESIS (COURTESY OF MARK E. EASLEY, MD)
- Patient history and imaging studies
-
Imaging studies
-
60-year-old patient with avascular necrosis of talus and a 2-year history of pain with weight bearing
-
Walks with a severe limp and has failed bracing, including patellar-tendon bearing brace ( TECH FIG 7A )





TECH FIG 6 • (continued) B–D. Postoperative radiographs of tibiocalcaneal arthrodesis. B. Lateral view. C. AP view. D. Mortise view. E, F. Sawbones model with blade plate in optimal position.
- Initial review of AP and lateral radiographs suggests that talar anatomy is relatively well preserved; however, closer inspection of AP radiograph demonstrates some potential lucency/irregularity in
A B C
D E talar body, and lateral radiograph reveals some talar body collapse and subtalar incongruity ( TECH FIG 7B,C ).
-
Tibial, talar head, and calcaneal preparation
-
In addition to comprehensive removal of residual tibial plafond cartilage and penetration of the subchondral bone:
-
CT scan shows fatigue fractures through avascular talar body ( TECH FIG 7D,E ).
-
Prepare the anterior distal tibia to promote healing of the viable talar head to the distal anterior tibia ( TECH FIG 10A ).
-
Positioning and surgical approach
-
Patient in lateral decubitus position, supported with a beanbag
-
Likewise, the talar neck must be prepared to promote fusion to the tibia.
-
Lateral transfibular approach
-
Fibula may be sacrificed and used as a bone graft in these patients since they are generally not candidates for total ankle arthroplasty, so fibular preservation is not critical.
-
Exposure of lateral ankle and subtalar joints. Note the fragmentation of the inferior surface of the talar body ( TECH FIG 8 ).
-
Extraction of residual talar body
-
It is always a difficult decision to extract a talar body, especially when the anatomy is relatively well preserved, at least on initial inspection.
-
However, this talar body was completely avascular. Note the unhealthy appearance of the talar body ( TECH FIG 9A ).
-
The talar body is extracted from the joint, in this case using a chisel. Note the fracture in the medial aspect of the talus that was revealed when the avascular lateral portion of talus is removed ( TECH FIG 9B,C ).





TECH FIG 8 • Lateral approach to ankle and subtalar joint after distal fibular resection.

TECH FIG 7 • A. Patellar tendon bearing brace. B, C. Preoperative radiographs of patient with talar body avascular necrosis. D, E. CT scan of same patient in A . Note fatigue fractures in the talar body.
A B C


TECH FIG 9 • A. Avascular necrosis of the talar body. Note the unhealthy bone that is easily excavated from the inferolateral aspect of the talar body. B, C. Removal of the avascular talar body. B. Use of a chisel. C. Note the fatigue fracture in the medial talar dome that is visible with removal of the unhealthy lateral aspect of the talus.
-
In our experience, a medial malleolar osteotomy is necessary to allow the tibia to collapse to the calcaneal posterior facet. Even if structural autograft or allograft is introduced, then some of the medial malleolus should be scalloped out to allow better positioning of the allograft ( TECH FIG 10B ).
-
Finally, the posterior facet of the calcaneus must also be prepared.
-
Some degree of distal tibial and dorsal calcaneal contouring is necessary to optimize the match of these two noncongruent surfaces. Morselized fibular bone graft and cancellous allograft chips serve to fill any voids, but some contact between the tibia and the calcaneus or between the tibia, structural graft, and calcaneus is necessary.
-
Initial positioning and provisional fixation
-
Alignment
-
Neutral dorsiflexion–plantarflexion, with a plantigrade foot
-
Slight heel valgus. If slight (physiologic) heel valgus is to be achieved and the lateral blade plate is compressed, then we recommend initially setting
A B


TECH FIG 10 • A. Preparation of the anterior distal tibia to promote fusion between the distal tibia and the head and neck of the residual talus. B. Partial resection of the medial malleolus to facilitate bony apposition of the tibia and calcaneus and potentially improve the position of a structural graft if it were used.
the heel in neutral position so that when compression is applied, the heel then aligns into slight valgus. If the heel is initially set in physiologic valgus and compression is placed on the lateral plate, then excessive heel valgus will result.
-
Rotation. Ideally, rotation is equal to that of the contralateral extremity. Internal rotation must be avoided, but likewise, excessive external rotation is not well tolerated. Since the extremity will tend to be slightly shorter than the contralateral leg, aligning the second ray of the foot with the anterior tibial crest is appropriate and allows for adequate clearance with a heel-to-toe gait.
-
Sagittal plane position. We ensure that the talar head and neck contacts the prepared anterior distal tibia. A foot forwardness position must be avoided; the majority of the calcaneus and all of the calcaneal tuberosity should be posterior to the tibia. Otherwise, the foot will be too anterior, necessitating that the patient vault over the foot to ambulate, which creates considerable mechanical disadvantage.
-
Provisional fixation
-
Occasionally a small relief area needs to be created in the calcaneus for the blade to sit flush on the lateral calcaneus.
-
Once this alignment is achieved, the construct should be provisionally pinned. Often a guide pin from the calcaneus to the anterior tibia that will then serve as the trajectory for one of the permanent screws is ideal. Also, an axial pin from the plantar calcaneus into the tibia is effective; however, it may interfere with the blade of the blade plate.
-
We attempt to preserve the peroneal tendons so that they still function on the midfoot, but if they interfere, then they may be transected without appreciation of functional deficit in tibiocalcaneal arthrodesis.
-
Fluoroscopic confirmation
-
Provisionally pin the blade to the lateral tibia and talus.
-
Be sure the position is confirmed in all planes and that bony contact is satisfactory at the arthrodesis site or sites.
-
Place the pins so that the blade is optimally positioned on the tibia and calcaneus and so that the blade can easily be removed, turned to the correct orientation, and impacted.
-
Bone graft
-
At this point, before permanent fixation and compression, we routinely add bone graft to fill any voids at the arthrodesis site.
-
Obtain fluoroscopic confirmation that the blade will be in the optimal position, both in the lateral and AP planes ( TECH FIG 11D,E ).
-
Permanent fixation
-
Positioning the blade plate
-
Reverse the blade and impact it on the calcaneus, using the pins to guide the blade into the optimal position.
-
Since the blade plate is a fixed-angle device, we routinely place it backwards on the lateral tibia and calcaneus ( TECH FIG 11A–C ).
-
Once fully seated, remove the guide pins and apply compression.
-
There is often a ridge of bone on the lateral tibia at the former incisura; this bone needs to be resected.
-
If the heel was set in neutral to begin, then the heel will end up in physiologic valgus.
A B
C D E





TECH FIG 11 • A–C. Fixed-angle blade plate placed backwards on the lateral tibia and talus to determine optimal position. A. Lateral view with perspective. Note the blade plate is placed backward to assess how well the plate fits, and note the guidewires to then guide the blade plate when it is turned around and impacted. D, E. Fluoroscopic views of an appropriately placed lateral tibiotalocalcaneal arthrodesis plate. This device has a locking mechanism to create a fixed-angle construct without a blade. D. AP view. Note appropriate contour of plate on lateral tibia and calcaneus. E. Lateral view. Note congruency of plate on lateral tibia and calcaneus. (continued)
F G




TECH FIG 11 • (continued) F. Lateral blade plate is impacted into lateral calcaneus, after compression is applied, with several proximal screws securing plate to lateral tibia. G, H. Supplemental fixation with cannulated screws. G. First screw from the calcaneal tuberosity to anterior tibia. H. Second screw from posterior tibia into talar head and neck to compress talar head and neck to prepared anterior distal tibial surface.
H
- Secure the plate to the tibia with several cortical or locking screws, depending on the implant used ( TECH FIG 11F ).
-
Bone graft on the posterior tibia and calcaneus. In our opinion, one key to successful fusion is raising an osteoperiosteal flap on the posterior distal tibia and dorsal calcaneus and densely packing bone graft chips along the posterior construct, essentially creating a “flying buttress” effect.
-
We routinely augment the blade plate fixation with two screws.
-
One screw is directed from the plantar calcaneal tuberosity to the anterior tibia ( TECH FIG 11G ).
-
Follow-up (3 years)
-
The second screw, from the posterior tibia to the center of the talar head, lags the talar head to the prepared anterior distal tibial surface ( TECH FIG 11H ). An AP view of the foot confirms that the guide pin is in the center of the talar head.)())((()) ). An AP view of the foot confirms that the guide pin is in the center of the talar head.
-
Patient is ambulating comfortably without an assistive device; only a slight limp is appreciable.
-
She was issued a brace with a small lift but does not routinely wear it.
-
She is far more functional than preoperatively.
-
Obtain fluoroscopic confirmation of the construct in the AP, mortise, and lateral planes.
-
Radiographs demonstrate solid ankle and hindfoot fusion with near-physiologic alignment ( TECH FIG 12 ).


TECH FIG 12 • Final follow-up radiographs 3 years after procedure. A. AP view. B. Lateral view. A B
💡 Pearls and Pitfalls
Initial position with heel in neutral
- If the heel is positioned in physiologic valgus before compression is applied through varus–valgus position the blade plate, then excessive valgus will result.Bone graft the posterior tibia and
- Create an osteoperiosteal flap on the posterior distal tibia and dorsal calcaneus to dorsal calcaneus densely pack bone graft that should incorporate to create a “flying buttress” of bone that greatly increases the surface area of the arthrodesis.Avoid anterior translation of the foot
- Be sure the foot is properly positioned under the tibia; if not, the lower extremity relative to the tibia will be at a mechanical disadvantage.
Postoperative Care Frey C, Eds. Current Practice In Foot And Ankle Surgery, Vol.
-
New York: Mcgraw-Hill, 1994:257–290.
-
Alvarez Rg, Barbour Tk, Perkins Td. Tibiocalcaneal Arthrodesis For Non-Braceable Neuropathic Ankle Deformity. Foot Ankle 1994;15: 354–359.
-
Alvarez Rg, Trevino Sg. Chapter
-
Treatment Of The Charcot Foot And Ankle. In: Kelikian As, Ed. Operative Treatment Of The Foot And Ankle. Stamford, Ct: Appleton And Lange, 1999:147–177.
-
Brodsky Jw. In: Coughlin Mj, Mann Ra. Surgery Of The Foot And Ankle, 7Th Ed. St. Louis: Mosby; 1999:895–969.
-
Brown Mj, Asbury Ak. Diabetic Neuropathy. Ann Neurol 1948;15: 2–12.
-
Cooper Ps. Aplication Of External Fixators For Management Of Charcot Deformities Of The Foot And Ankle. Foot Ankle Clin 2002;7: 207–254.
-
Herbst Sa. External Fixation Of Charcot Arthropathy. Foot Ankle Clin 2004;9:595–609.
-
Johnson Je, Rudzki Jr, Janisse E, Et Al. Hindfoot Containment Orthosis For Management Of Bone And Soft Tissue Defects Of The Heel. Foot Ankle Int 2005;26:198–203.
-
Logerfo Fw, Coffman Jd. Vascular And Microvascular Disease Of The Foot In Diabetes. N Engl J Med 1984;311:1615–1618.
-
Orendurff Ms, Sangeorzan B, Rohr E, Et Al. Ankle Equinus Has Limited Impact Upon Peak Forefoot Pressure During Walking. Read At The Annual Meeting Of The American Orthopaedic Foot And Ankle Society, July 14–17, 2005, Boston, Ma.
-
Saltzman Cl, Rashid R, Hayes A, Et Al. 4.5-Gram Monofilament Sensation Beneath Both First Metatarsal Heads Indicates Protective Foot Sensation In Diabetic Patients. J Bone Joint Surg Am 2004;86A: 717–723.
-
Saltzman Cl, Zimmerman Mb, Holsworth Rl, Et Al. Effect Of Initial Weight-Bearing In A Total Contact Cast On Healing Of Diabetic Foot Ulcers. J Bone Joint Surg Am 2004;86A:2714–2719.
-
Schon Lc, Easley Me, Weinfeld Sb. Charcot Neuroarthropathy Of The Foot And Ankle. Clin Orthop Relat Res 1998;349:116–131.
-
Texhammar R, Colton C. Angled Blade Plates And Instruments: Ao/Asif Instruments And Implants, 2Nd Ed. New York: Springerverlag, 1994:152–176.
-
Wagner Fw. Transcutaneous Doppler Ultrasound In The Prediction Of Healing And The Selection Of Surgical Level For Dysvascular Lesions Of The Toes And Forefoot. Clin Orthop Relat Res 1979;142: 110–114.
-
Wagner Fw. The Dysvascular Foot. A System For Diagnosis And Treatment. Foot Ankle 1981;2:64–122.
-
Intravenous antibiotics are continued for 2 to 3 days or until the patient is discharged.
-
The cast should be changed first at 24 to 48 hours, then at 2to 4-week intervals until the wound has healed.
-
A CROW is used after this for non–weight-bearing immobilization for 4 to 6 months and weight bearing for 3 to 4 additional months and swelling has subsided.
-
Using a CROW instead of cast changes postoperatively allows patients to bathe around 2 to 4 weeks postoperatively.
-
Once the fusion is well healed, the patient may be changed to a bivalved AFO with a rocker sole.
-
Weight bearing is started around the fourth to fifth month after there is radiographic evidence of healing of the fusion.
-
Starting at 25 pounds, weight is increased by 25 pounds at 1to 2-week intervals.
-
Once 75% of the patient’s weight is reached, full weight bearing is allowed in the CROW.
-
Limb-length discrepancy can be corrected using a buildup for the rocker sole.
-
A solid ankle cushion heel (SACH) can be added to dampen heel stride and simulate plantar fixation.
-
The patient should be braced for life in a bivalved AFO that fits in a shoe. OUTCOMES
-
Fusion occurs in 93% of cases at an average of 16 weeks (range 12 to 18). Preoperative ulcerations heal after the precipitating deformity has been corrected.
-
Tibial stress fractures occurring at the proximal end of the blade plate (the reason for bracing for life) can be prevented by placing the patient in a bivalved AFO. The anterior shell of the AFO prevents the moment or progression force of the tibia over the foot, thus reducing the chance of fracture.
REFERENCES
-
Alvarez RG. Chapter
-
Neuropathic joint: guidelines for treatment of great toe, midfoot, and hindfoot deformities. In: Pfeffer G,
You Might Also Like