Acute Rotator Cuff Tears: What's Your Diagnosis?
A 35-year-old male has had left shoulder pain for 4 months, ever since a low-speed motor vehicle accident (MV…
Orthopedic Teaching Cases
A 35-year-old male has had left shoulder pain for 4 months, ever since a low-speed motor vehicle accident (MV…
A 44-year-old, right-hand-dominant female is in the office with persistent lateral elbow pain of 2 years dura…
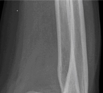
A 32-year-old male presented to the emergency department 1 hour after sustaining a fall while skateboarding. …
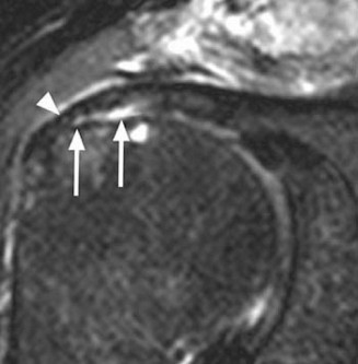
A 24-year-old, male athlete sustains an anterior shoulder dislocation. His MRI is shown in Figure 2–32 . Figu…
CASE 27 A healthy, 9-month-old baby is brought in by her parents. At birth, it …
A 24-year-old professional tennis player presents to clinic 2 days after twisting her ankle while playing ten…
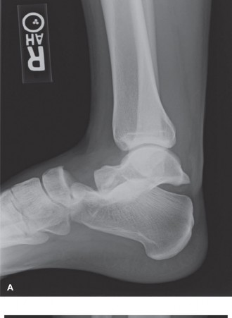
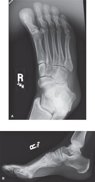
A 28-year-old man falls from a ladder at work from approximately 12 feet, injuring his right ankle. He is tak…
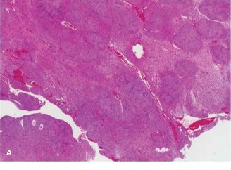
A 46-year-old male presents to you for a second opinion. He recently underwent surgery to remove a mass from …
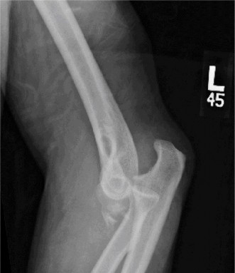
A 54-year-old male presented to the ED with left elbow pain after sustaining an injury in a low speed motor v…
A 55-year-old man with a long history of type 2 diabetes presents with a swollen, erythematous, hot, and mild…
CASE Dr. Melinda Sharkey A 10-day-old male is brought into your office for evaluation of foot deformities. Th…
A healthy 43-year-old female developed insidious onset of plantar right heel pain 2 months ago. She describes…