Unraveling Foot & Ankle Lumps: Is it Clear Cell Sarcoma?
A 54-year-old male presents with right forefoot pain, swelling, and a sense of pressure. He reports that he w…
Orthopedic Teaching Cases
A 54-year-old male presents with right forefoot pain, swelling, and a sense of pressure. He reports that he w…
CASE 33 A 3-year-old girl presents to your clinic with her mother. The patient’…
A 61-year-old female with several months of deep pain in the right shoulder is referred to you by her primary…
A 24-year-old professional tennis player presents to clinic 2 days after twisting her ankle while playing ten…
A 70-year-old, right-hand-dominant woman presents to clinic with right shoulder pain and weakness. She has ha…
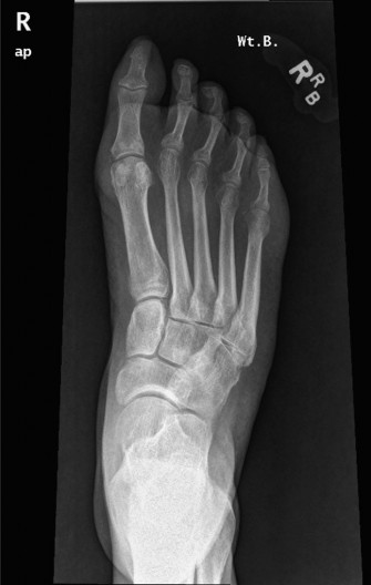
A 60-year-old male presents noting left foot pain of over a year’s duration. He was originally diagnosed with…
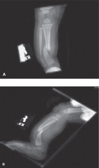
CASE 30 A 1-year-old male is brought to your clinic by his parents for evaluati…
A 16-year-old female sprains her ankle playing lacrosse and is brought to the emergency room. X-rays are nega…
A 60-year-old female presents with a chief complaint of an intermittently painful mass on the medial border o…
A 21-year-old, right-hand-dominant, male, college swimmer presents to clinic complaining of gradually worseni…
A 24-year-old, male athlete sustains an anterior shoulder dislocation. His MRI is shown in Figure 2–32 . Figu…
A 31-year-old female presents to your office with increasing pain over the posterior medial ankle and stiffne…