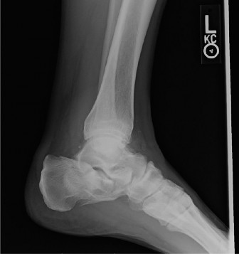
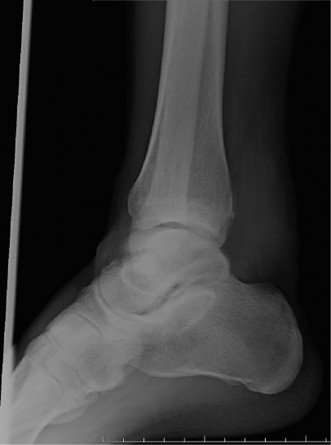
Pediatric Ankle Pain: Diagnosis Involves the Subtalar Joint
CASE 34 You see a 14-year-old girl in your clinic for the first time who has a …
Orthopedic Teaching Cases
CASE 34 You see a 14-year-old girl in your clinic for the first time who has a …
An athletic 24-year-old male is referred from his doctor’s office for an abnormal finding on radiographs of h…
A 66-year-old man with history of retinoblastoma presents with right knee pain. AP and lateral radiographs ar…
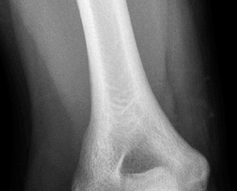
A 16-year-old male baseball player presents to your office for evaluation of his worsening right elbow pain. …
A 49-year-old female with stage IV breast cancer presents to your office with worsening left hip pain. A rece…
A 50-year-old otherwise healthy and active gentleman fell from a height of approximately 8 ft while rock clim…
A 33-year-old male presents to the ED after a fall during a soccer game. He reports significant right shoulde…
A 30-year-old female presents to your office with a chief complaint of episodic right knee pain, swelling, an…
A 25-year-old, right-hand-dominant man presents to the clinic with right shoulder pain. He is a professional …
A 26-year-old man sustained an injury to his right ankle when he was caught in an avalanche while snowboardin…
A 21-year-old, right-hand-dominant, collegiate pitcher presents to the office with elbow pain and loss of vel…
A 58-year-old woman comes to clinic reporting that her previous surgeon has performed two procedures on her f…