Beat Achilles Pain: How Eccentric Calf Stretching Provides Relief.
A 57-year-old female presents with an 8-month history of pain at the Achilles tendon insertion. She reports a…
Orthopedic Teaching Cases
A 57-year-old female presents with an 8-month history of pain at the Achilles tendon insertion. She reports a…
A 22-year-old female presents complaining of pain along the lateral border of her left foot. She has a known …
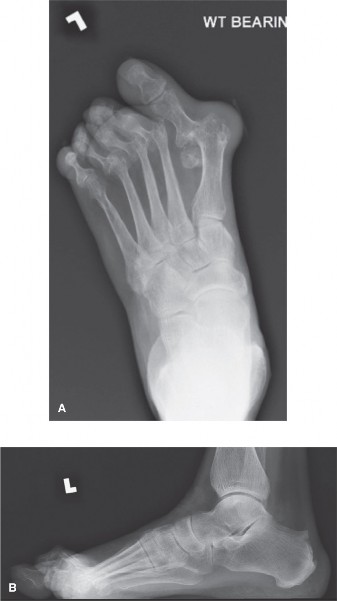
A 21-year-old, collegiate football player noted acute medial forefoot pain when he axially loaded a dorsiflex…
CASE 26 A 2-year-old African-American girl presents with progressive bowing of …
A 22-year-old, police officer presents to your office with bilateral leg pain and foot numbness while partaki…
A 45-year-old, left-hand-dominant male with a history of Crohn’s disease presents to your clinic complaining …
A 59-year-old female with a longstanding history of bilateral foot pain presents with a recurrent painful cal…
CASE 31 A 13-year-old girl presents to your office, having just moved to your a…
A 27-year-old male patient presents to your office for a second opinion. He has been seen for left knee pain.…
A 28-year-old, male, left hand-dominant, factory worker, and avid weight lifter presents to clinic complainin…
An 18-year-old male presents to your office with pain in his lower right leg and an enlarging mass over the a…
A 21-year-old, right-hand-dominant, collegiate pitcher presents to the office with elbow pain and loss of vel…