PVNS Diagnosis: Clinical and Radiographic Clues You Can't Miss
A 30-year-old female presents to your office with a chief complaint of episodic right knee pain, swelling, an…
Orthopedic Teaching Cases
A 30-year-old female presents to your office with a chief complaint of episodic right knee pain, swelling, an…
A 28-year-old, male, left hand-dominant, factory worker, and avid weight lifter presents to clinic complainin…
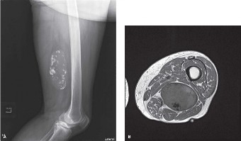
An 18-year-old male presents to your office with pain in his lower right leg and an enlarging mass over the a…
An 8-year-old male is brought in by his parents for “growing pains.” He has been limping and has difficulty k…
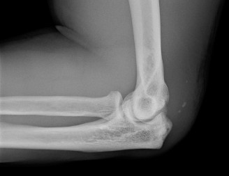
A 20-year-old male presents to the office with right elbow pain. He states he fell 5 years ago and was told h…
An 81-year-old female is brought to your office by her son. She has been treated for bilateral knee osteoarth…
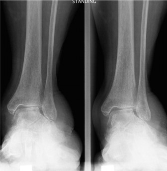
A 65-year-old female with a history of osteopenia presents complaining of hindfoot pain for the past 2 years.…
A 23-year-old, semi-professional football linebacker presents with left elbow pain after a game. He extended …
CASE 24 A healthy, 1-month-old baby is brought to see you because the right low…
A 52-year-old female presents to you reporting left foot pain that has been present for the past 3 months. Sh…
A 36-year-old female is referred to your office by her primary care physician. She has been complaining of pr…
A 24-year-old, left-hand-dominant, businesswoman presents to clinic with 2 days of right shoulder pain. Two d…