Mastering the Management of Scaphoid Fractures: Avoid Complications
Management of Scaphoid Fracture 1. What is the injury shown in Figure 13.3? Show Answer Show Explanation 2. W…
Orthopedic Teaching Cases
Management of Scaphoid Fracture 1. What is the injury shown in Figure 13.3? Show Answer Show Explanation 2. W…
What is the diagnosis for a left-hand dominant woman, aged 38, who fell on her right arm and went to the acci…
Management of Mid-shaft Clavicle Fracture 1. What does the AP radiograph of the left clavicle demonstrate? Sh…
Proximal Humerus Fracture Q&A: Master diagnosis & management. Explore varus fractures, prognosis factors, blo…
Fracture Healing 1. What are the 3 stages of fracture healing? Show Answer Show Explanation 2. How do bone st…
Test your radiology knowledge! Interactive questions covering image interpretation, Gilula lines, & peri-luna…
Humeral shaft fracture diagnosis & management: X-ray interpretation, classification, & treatment options expl…
Master perilunate dislocations (PLD) & PLFDs: severe wrist injuries. Learn epidemiology, surgical anatomy, Ma…
IM Nail Concepts Orthopedics Concepts IM Nail Concepts Figure 9.4: Titanium IM femoral nail. EXAMINER: What d…
Orthopedics Concepts Orthopedics Concepts Figure 1: With the open-second nail there is reversion of the direc…
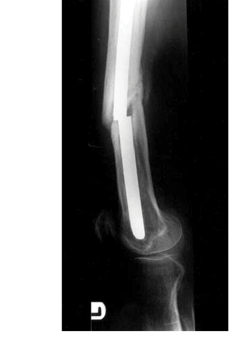
IM Nail Biomechanics IM Nail Biomechanics E X A M I N E R: This is a radiograph of a broken femoral nail that…
This mock oral examination concept review focuses on the biomechanics of intramedullary (IM) nails in orthope…