Understanding IM Nail for FRCS Oral Exams: Master Key Concepts
This FRCS (Tr & Orth) Oral Examination concept overview provides insights into the world of intramedullary (I…
Orthopedic Teaching Cases
This FRCS (Tr & Orth) Oral Examination concept overview provides insights into the world of intramedullary (I…
IM Nail Concepts Orthopedics Concepts IM Nail Concepts Figure 9.4: Titanium IM femoral nail. EXAMINER: What d…
IM Nail Biomechanics IM Nail Biomechanics E X A M I N E R: This is a radiograph of a broken femoral nail that…
This mock oral examination concept review focuses on the biomechanics of intramedullary (IM) nails in orthope…
In this FRCS (Tr & Orth) Oral Examination concept review, the candidate is asked to identify and describe a l…
Orthopedics Concepts Orthopedics Concepts Figure 1: With the open-second nail there is reversion of the direc…
This is a radiograph of a patient brought to the emergency department after being knocked off his bicycle in …
A 32-year-old woman is admitted after a fall from her bicycle. She has an isolated injury to her left upper l…
Quiz on Monteggia Fracture Dislocation 1. Describe the appearances shown in these radiographs. Show Answer Th…
A 35-year-old woman fell from a ladder, injuring her right shoulder. These are her radiographs. 1. What do th…
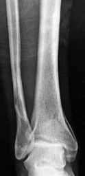
Partial articular fracture—plate fixation Case description A 53-year old man injured his right ankle in a mot…
Tibial shaft fracture extending into the plafond—intramedullary fixation Case description a A 25-year-old wom…