Decoding Pilon Fractures: Anterolateral and Medial Fragments Revealed
Metaphyseal fracture with joint involvement Case description A 38-year-old woman was involved in a motor vehi…
Orthopedic Teaching Cases
Metaphyseal fracture with joint involvement Case description A 38-year-old woman was involved in a motor vehi…
A 35-year-old woman fell from a ladder, injuring her right shoulder. These are her radiographs. 1. What do th…
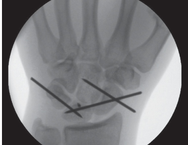
Quiz on Wrist Perilunate Dislocation 1. Describe this radiograph. Show Answer This is a lateral radiograph of…
A 28-year-old man presents 72 hours following an injury to his left hand. He seems evasive about the history …
This is a radiograph of a patient brought to the emergency department after being knocked off his bicycle in …
Partial articular fracture—plate fixation Case description A 53-year old man injured his right ankle in a mot…
A 32-year-old woman is admitted after a fall from her bicycle. She has an isolated injury to her left upper l…
CASE1 CASE2 CASE3 CASE4 CASE5 CASE6 CASE7 CASE8 CASE9 CASE10 CASE11 CASE12 CASE13 CASE14 CASE15 CASE16 CASE17…
Tibial shaft fracture extending into the plafond—plate fixation Case description A 26-year-old man fell from …
A 28-year-old woman presents to the emergency department after a fall from a horse. The emergency department …
Scaphoid fracture is the most common carpal bone fracture, which occurs when the wrist is forcefully dorsifle…
A 29-year-old man fell from a horse, injuring his right dominant elbow. He is seen in the fracture clinic and…