Analyzing a Hybrid Primary Hip Arthroplasty Patient Case
Case Title: Hybrid Primary Hip Arthroplasty Demographics Age : 76 Sex : Female. BMI : 26 Relevant Past Medica…
Orthopedic Teaching Cases
Case Title: Hybrid Primary Hip Arthroplasty Demographics Age : 76 Sex : Female. BMI : 26 Relevant Past Medica…
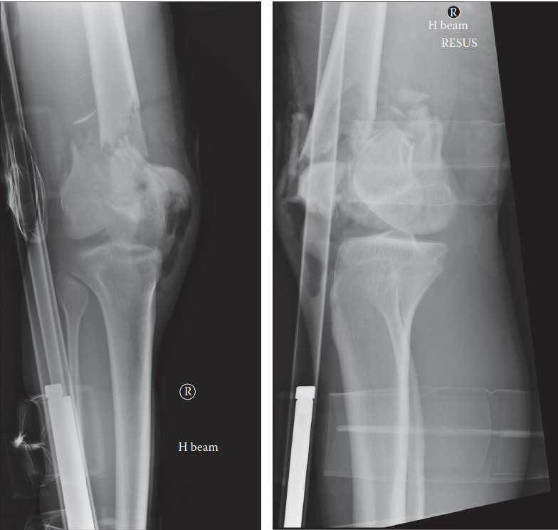
Can you describe the radiographs? This is a highly comminuted distal femoral fracture. There is gas in the so…
Case Title: Uncemented Primary Total Hip Arthroplasty (Using an Extensively Porous-Coated [Anatomic Medullary…
Demographics Age: 77 Sex: Female BMI: 32 Relevant Past Medical History Principal pathologies: Rheumatoid arth…
A 20-year-old man is brought to the emergency department following a high-speed road traffic accident in whic…
An 80-year-old woman attends the fracture clinic after stumbling and hitting her shoulder Against a banister.…
Case Title: The Use of Acetabular Augments for Revision Total Hip Arthroplasty Demographics Age: 71 years old…
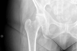
Demographics Age: 71 years Sex: Male BMI: 26.2 Relevant Past Medical History Principal pathologies: Non-insul…
Can you describe the radiograph? This is an AP radiograph of the right hip. There is a pathological fracture …
Advanced osteoarthritis bilaterally. Osteonecrosis and complete obliteration of the joint space on both sides…
Case Title: Hemiresurfacing for Hip Osteonecrosis in Active Young Patients Demographics Age: 32 Sex: Male BMI…
A 32yearold woman is brought to the emergency department following a road traffic collision. She complains of…