Ipsilateral Femoral Neck & Shaft Fractures: Guide to Management
A 20-year-old man is brought to the emergency department following a high-speed road traffic accident in whic…
Orthopedic Teaching Cases
A 20-year-old man is brought to the emergency department following a high-speed road traffic accident in whic…
Advanced osteoarthritis bilaterally. Osteonecrosis and complete obliteration of the joint space on both sides…
Case Title: Hybrid Primary Total Hip Arthroplasty Demographics Age: 86 Sex: Female BMI: 25 Relevant Past Medi…
Demographics Age: 71 years Sex: Male BMI: 26.2 Relevant Past Medical History Principal pathologies: Non-insul…
Case Title: Hybrid Primary Hip Arthroplasty Demographics Age : 76 Sex : Female. BMI : 26 Relevant Past Medica…
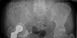
Can you describe the radiograph? This is an AP radiograph of the right hip. There is a pathological fracture …
Revision THA Acetabulum Paprosky Type IIIA. ARMD with Metallosis with Severe Periacetabular Osteolysis and Co…
Case Title: The Use of Acetabular Augments for Revision Total Hip Arthroplasty Demographics Age: 71 years old…
A 32yearold woman is brought to the emergency department following a road traffic collision. She complains of…
Case Title: Acetabular Impaction Grafting Demographics Age: 78 Sex: female BMI: 28 Relevant Past Medical Hist…
Case Title: Hemiresurfacing for Hip Osteonecrosis in Active Young Patients Demographics Age: 32 Sex: Male BMI…
Explore a detailed case study of complex revision total hip arthroplasty, featuring a 72-year-old male with s…