Chronic Foot Pain: Is Debridement of Flexor Digitorum Your Solution?
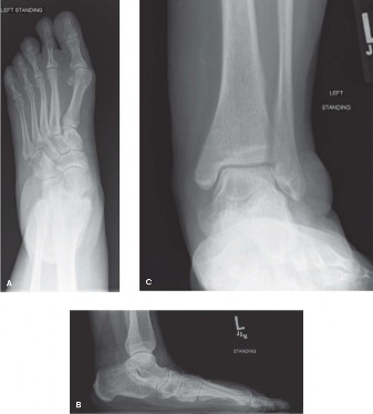
A 52-year-old female presents to you reporting left foot pain that has been present for the past 3 months. Sh…
Orthopedic Teaching Cases
A 52-year-old female presents to you reporting left foot pain that has been present for the past 3 months. Sh…
A 17-year-old gymnast presents to clinic with right shoulder pain. She denies any specific injury but reports…
A 14-year-old male presents to your office with a chief complaint of swelling about the left knee and decreas…
A 50-year-old male presents with 6 months of atraumatic forefoot pain. He has noticed the gradual onset of pa…
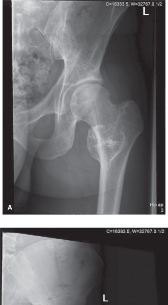
A 52-year-old female with a past medical history significant for long-term type 2 diabetes presents with a ri…
CASE 25 A 6-year-old boy with leg length difference presents to your clinic. He…
A 56-year-old male is referred to your office by his primary physician, with concern for metastatic disease. …
A 28-year-old, recreational athlete presents to your clinic with shoulder pain and a history of multiple subl…
A 9-year-old, baseball pitcher presents to the office with 4 weeks of elbow pain of his throwing arm. He deni…
A 54-year-old woman presents to clinic reporting discomfort on the dorsum of her foot with shoewear and pain …
A 34-year-old man presents to your office complaining of increasing pain in his hip and thigh. He reports tha…
A 45-year-old, left-hand-dominant male with a history of Crohn’s disease presents to your clinic complaining …