Mastering Shoulder & Elbow cases chronic dislocation: A guide
A 56-year-old male presents to your clinic 2 months after a polytrauma MVA. He was in the ICU, intubated for …
Orthopedic Teaching Cases
A 56-year-old male presents to your clinic 2 months after a polytrauma MVA. He was in the ICU, intubated for …
A 47-year-old, right-hand-dominant male presents to your clinic complaining of right shoulder weakness for th…
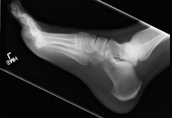
A 54-year-old woman presents to clinic reporting discomfort on the dorsum of her foot with shoewear and pain …
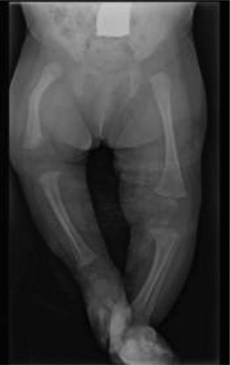
CASE 24 A healthy, 1-month-old baby is brought to see you because the right low…
A 21-year-old, right-hand-dominant, male, college swimmer presents to clinic complaining of gradually worseni…
An 18-year-old male presents to your office with pain in his lower right leg and an enlarging mass over the a…
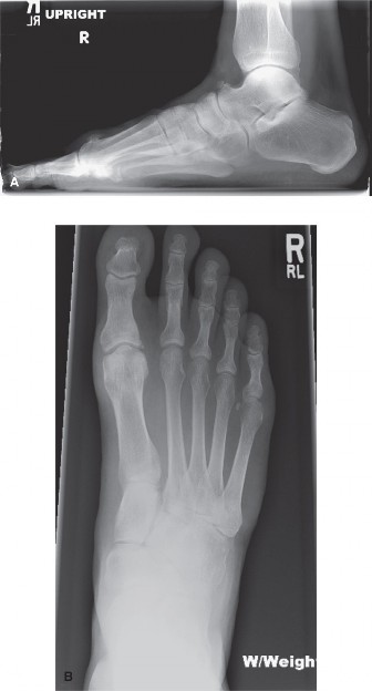
A 16-year-old female sprains her ankle playing lacrosse and is brought to the emergency room. X-rays are nega…
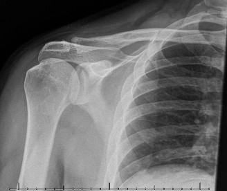
A left-hand-dominant, 66-year-old female is sent to your office for shoulder pain, possibly a rotator cuff te…
A 60-year-old male presents noting left foot pain of over a year’s duration. He was originally diagnosed with…
A 24-year-old, left-hand-dominant, businesswoman presents to clinic with 2 days of right shoulder pain. Two d…
CASE 40 The ER requests your consultation on a 3-year-old boy who presented wit…
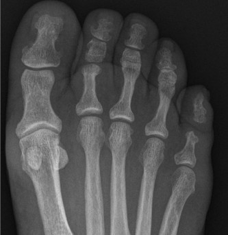
A 45-year-old man presents to your office with pain and stiffness in his big toe. He denies any history of tr…