Patellofemoral Arthroplasty: Avoid Failure, End Patellofemoral Pain
A 48-year-old female patient presents with anterior left knee pain. She has had a history of recurrent patell…
Orthopedic Teaching Cases
A 48-year-old female patient presents with anterior left knee pain. She has had a history of recurrent patell…
What are the indications for the ilioinguinal approach? Operative management of acetabular fractures. The ili…
Describe the radiographs pictured above. These are AP and lateral radiographs showing a comminuted and displa…
A 19-year-old male ranch-hand was accidently shot in the left leg while pursuing a coyote. His coworker fired…
A 72-year-old female presents with a 2-year history of progressive knee pain. She has tried braces and anti-i…
A 23-year-old male presents to the emergency department following a hard landing while skydiving. He is unabl…
1. Describe what you see and your initial management in the emergency department. This is a clinical photogra…
You are the sole provider in a small rural hospital when a 56-year-old female is brought in after a MVC rollo…
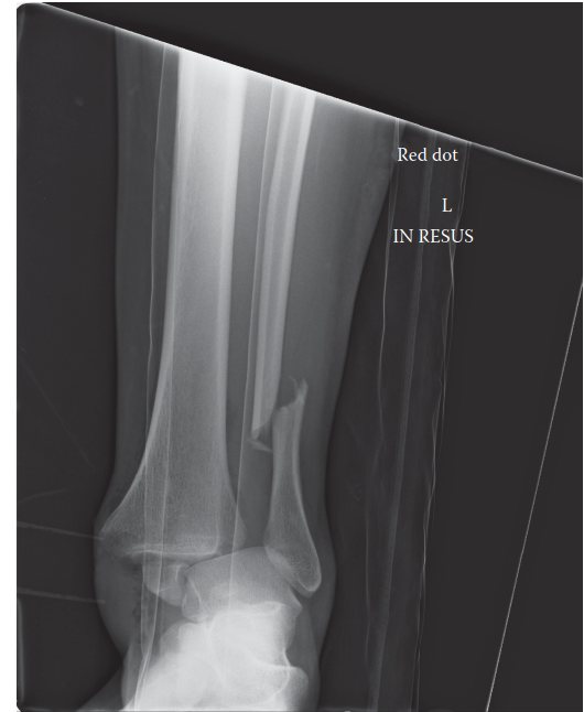
Can you describe the radiograph? This is an AP radiograph of the left ankle showing a fracture dislocation. T…
A 73-year-old man with a history of hypertension and hyperlipidemia presents to your office with right hip pa…
A 52-year-old postmenopausal female presents with progressive hip pain. She points to the pain in “C-clamp” d…
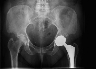
A 50-year-old female underwent metal-on-metal (MoM) total hip arthroplasty 1 year ago for osteoarthritis. Her…