Reconstruction Materials: What You Need to Know About Associated Complications
An 82-year-old woman, with a BMI of 33.9 and history of total hip replacement performed 8 years ago, sustaine…
Orthopedic Teaching Cases
An 82-year-old woman, with a BMI of 33.9 and history of total hip replacement performed 8 years ago, sustaine…
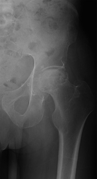
A 51-year-old male presents with a chief complaint of left hip pain that has been progressively worsening for…
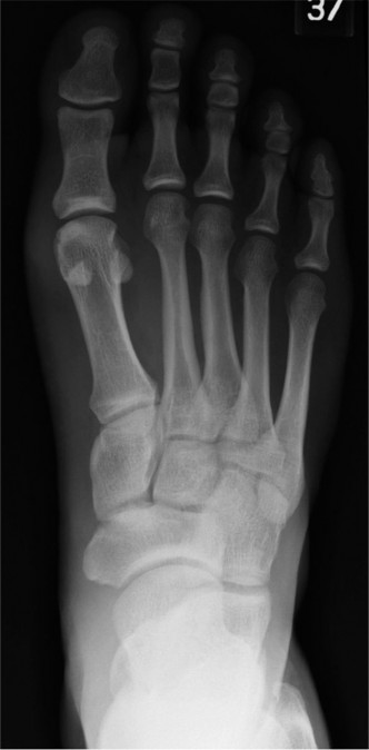
A 22-year-old female presents complaining of pain along the lateral border of her left foot. She has a known …
CASE 29 A 6-month-old baby is referred to your clinic for evaluation of her fee…
CASE 38 You are on-call in the emergency room and are paged to see three differ…
A 28-year-old, male, left hand-dominant, factory worker, and avid weight lifter presents to clinic complainin…
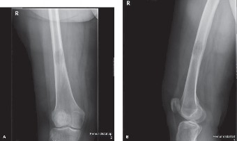
A 52-year-old female with a past medical history significant for long-term type 2 diabetes presents with a ri…
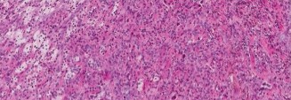
A 60-year-old female with a history of breast cancer treated 5 years ago with mastectomy, chemotherapy, and r…
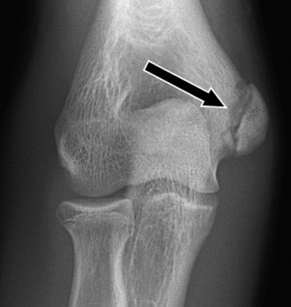
A 9-year-old, baseball pitcher presents to the office with 4 weeks of elbow pain of his throwing arm. He deni…
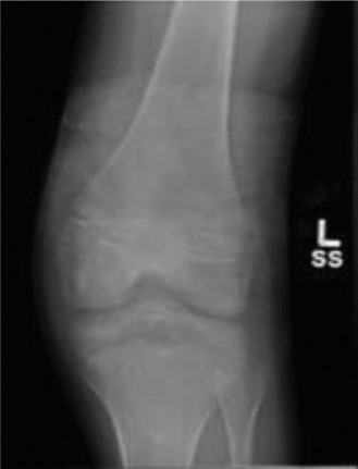
A 27-year-old male patient presents to your office for a second opinion. He has been seen for left knee pain.…
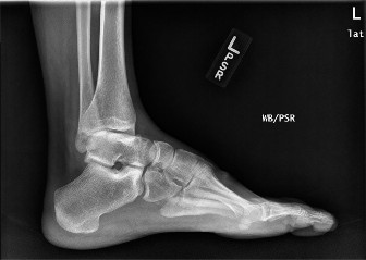
A 21-year-old, collegiate football player noted acute medial forefoot pain when he axially loaded a dorsiflex…
CASE 36 A 12-year-old boy is brought to your clinic for evaluation after being …