Joint Replacement for Patients with HIV: Debunking Complication Myths
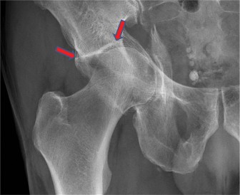
A 56-year-old man who is hepatitic C and HIV positive and currently taking HAART presents to your clinic to d…
Orthopedic Teaching Cases
A 56-year-old man who is hepatitic C and HIV positive and currently taking HAART presents to your clinic to d…
A 73-year-old man with a history of hypertension and hyperlipidemia presents to your office with right hip pa…
A 43-year-old woman complains of right ankle pain and inability to bear weight after she slipped and fell whi…
A 65-year-old female presents with a painful, left total knee replacement that was performed 7 years ago. The…
You are the sole provider in a small rural hospital when a 56-year-old female is brought in after a MVC rollo…
These are radiographs as well as a clinical photograph of the right foot of a 68-year-old man who stumbled do…
A 55-year-old man is involved in a high-speed motorcycle crash. Upon presentation to a level 3 trauma center,…
A 28-year-old man is brought to the emergency department after a road traffic accident in which the car he wa…
A 64-year-old patient with rheumatoid arthritis and seizure disorder presents to you for evaluation of a pain…
A 68-year-old, active male presents to the emergency department after being struck by a motor vehicle while r…
Can you describe the radiograph? This is an AP and lateral radiograph of the left ankle. It shows a bimalleol…
What are the most common causes implicated in the development of compart- ment syndrome? Tibial diaphyseal fr…