Navigate the Internal Iliac Fossa with the Ilioinguinal Approach
What are the indications for the ilioinguinal approach? Operative management of acetabular fractures. The ili…
Orthopedic Teaching Cases
What are the indications for the ilioinguinal approach? Operative management of acetabular fractures. The ili…
A 76-year-old non-insulin dependent diabetic returns to your clinic 3 weeks after ORIF of a right ankle fract…
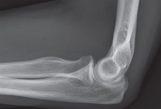
A 43-year-old, active man presents to your clinic with a chief complaint of elbow pain. He tells you that he …
You are called to the emergency department to evaluate the right arm of a 26-year-old female who fell approxi…
A 55-year-old man is involved in a high-speed motorcycle crash. Upon presentation to a level 3 trauma center,…
A 23-year-old rancher presents to the emergency department after being trampled by a bull. He complains of se…
A 48-year-old female patient presents with anterior left knee pain. She has had a history of recurrent patell…
A 72-year-old female presents with a 2-year history of progressive knee pain. She has tried braces and anti-i…
A 64-year-old male with ankylosing spondylitis and history of prostate cancer undergoes THR for osteoarthriti…
A 23-year-old male presents to the emergency department following a hard landing while skydiving. He is unabl…
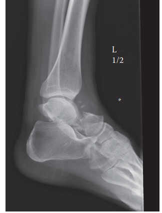
Can you describe the radiograph? This is a lateral radiograph of the left ankle showing a displaced talar nec…
What are the indications for the deltopectoral approach? The deltopectoral approach affords excellent anterio…