A Distal Femur Case: Mastering Fracture Evaluation
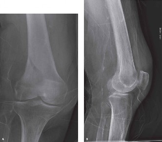
A 23-year-old rancher presents to the emergency department after being trampled by a bull. He complains of se…
Orthopedic Teaching Cases
A 23-year-old rancher presents to the emergency department after being trampled by a bull. He complains of se…
A 59-year-old male with BMI 32 presents with severe medial knee pain corresponding to focal osteoarthritis of…
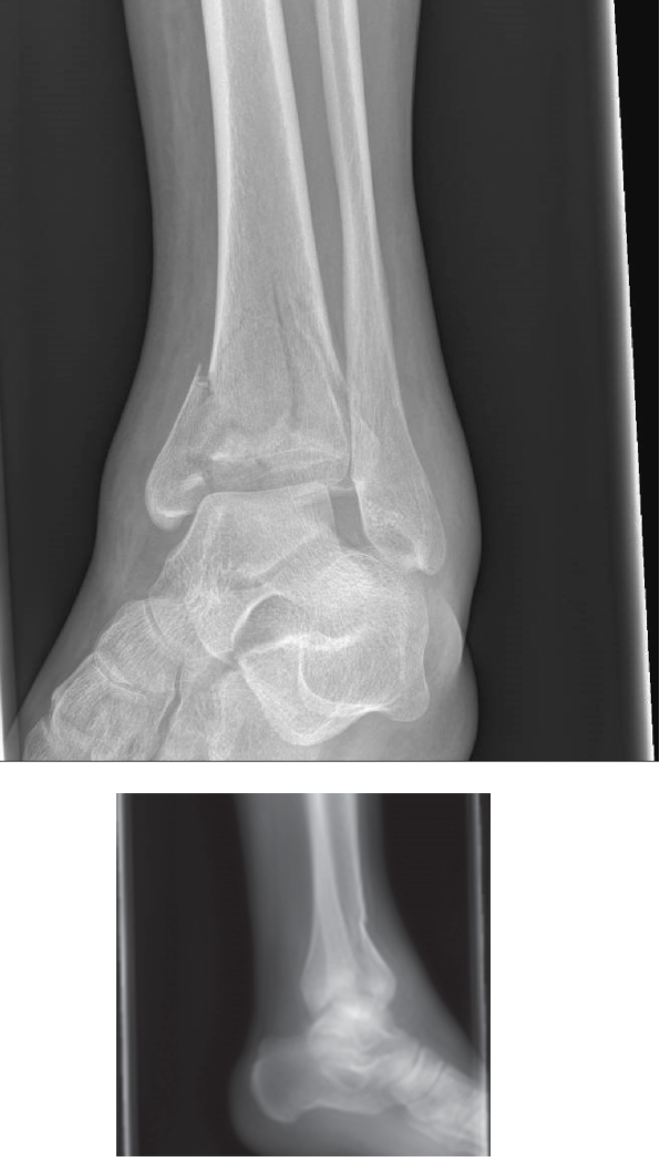
A 43-year-old male presents to the emergency department after falling approximately 15 ft while trimming tree…
A 29-year-old woman arrives to the emergency department after jumping from the second story of a burning buil…
Describe the radiographs pictured above. These are AP and lateral radiographs showing a comminuted and displa…
How do IM nails and external fixators differ with regard to load bearing and their moment arm? This depends o…
A 48-year-old female patient presents with anterior left knee pain. She has had a history of recurrent patell…
A 49-year-old male is brought to the emergency department after a high-speed motor vehicle collision. There i…
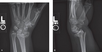
A 67-year-old, left-hand-dominant, retired female sustained a left distal radius fracture when she tripped in…
A 67-year-old female presents to your clinic with pelvic and groin pain for 5 days after a low-impact fall fr…
A 73-year-old man with a history of hypertension and hyperlipidemia presents to your office with right hip pa…
A 24-year-old male presents following a motor vehicle collision. His primary complaint is of lower back pain.…