Managing a Post-ORIF Infected Ankle Case: Insights & Strategies
A 76-year-old non-insulin dependent diabetic returns to your clinic 3 weeks after ORIF of a right ankle fract…
Orthopedic Teaching Cases
A 76-year-old non-insulin dependent diabetic returns to your clinic 3 weeks after ORIF of a right ankle fract…
A 48-year-old woman presents to the emergency department complaining of acute left knee pain and inability to…
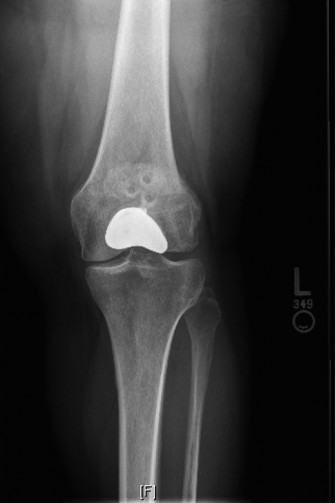
A 48-year-old female patient presents with anterior left knee pain. She has had a history of recurrent patell…
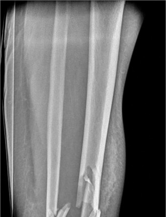
You are called to the emergency department to evaluate the right arm of a 26-year-old female who fell approxi…
A 49-year-old male is brought to the emergency department after a high-speed motor vehicle collision. There i…
A 69-year-old woman underwent uncomplicated total knee replacement. She was being discharged from the rehabil…
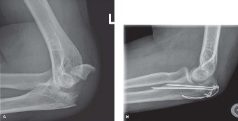
You are consulted to evaluate the right elbow of a 38-year-old female who was involved in a motor vehicle col…
A 64-year-old patient with rheumatoid arthritis and seizure disorder presents to you for evaluation of a pain…
A 29-year-old woman arrives to the emergency department after jumping from the second story of a burning buil…
A 30-year-old male presents to your local trauma center following a motor vehicle collision. On arrival to th…
A 42-year-old, right-hand-dominant police officer sustains an injury to his right wrist in a motor vehicle co…
A 43-year-old male presents to the emergency department after falling approximately 15 ft while trimming tree…