Decode a Lisfranc Injury Case: Diagnosis & Clinical Pearls
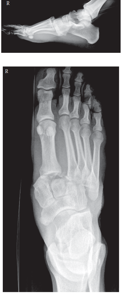
These are radiographs as well as a clinical photograph of the right foot of a 68-year-old man who stumbled do…
Orthopedic Teaching Cases
These are radiographs as well as a clinical photograph of the right foot of a 68-year-old man who stumbled do…
1. Describe what you see and your initial management in the emergency department. This is a clinical photogra…
You review a 67-year-old woman in the fracture clinic. She has had a distal radius fracture after a fall. The…
A 54-year-old, right-hand-dominant, high school principal presents to the emergency department with severe le…
What are the indications for the anterior approach to the hip? This approach is predominantly used for irriga…
A 42-year-old, right-hand-dominant police officer sustains an injury to his right wrist in a motor vehicle co…
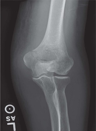
You are consulted to evaluate the right elbow of a 38-year-old female who was involved in a motor vehicle col…
A 48-year-old female patient presents with anterior left knee pain. She has had a history of recurrent patell…
A 24-year-old male presents following a motor vehicle collision. His primary complaint is of lower back pain.…
A 67-year-old woman who is scheduled to undergo primary total hip arthroplasty for end-stage arthritis of the…
A 23-year-old rancher presents to the emergency department after being trampled by a bull. He complains of se…
A 76-year-old non-insulin dependent diabetic returns to your clinic 3 weeks after ORIF of a right ankle fract…