Pes Cavus & Ankle Pain: When to Use Coleman Block Testing
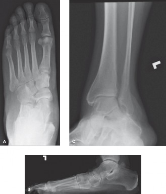
A 16-year-old male presents noting frequent sprains to his right ankle. He notes that he rolls his right ankl…
Orthopedic Teaching Cases
A 16-year-old male presents noting frequent sprains to his right ankle. He notes that he rolls his right ankl…
A 33-year-old man jumped off a 6-ft ledge, injuring his right ankle. He presented to the emergency department…
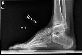
A 52-year-old male presents to your office reporting increased medial and lateral hindfoot pain for the past …
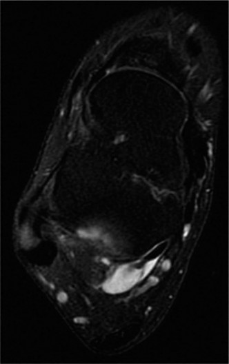
A 39-year-old female presents with increasing pain over the lateral aspect of her foot. She complains of diff…
A 38-year-old female is referred to your office by her primary physician for a mass on her neck. It is painle…
A 23-year-old male presents to your office complaining of progressive low back pain for the past 6 months. Th…
A 71-year-old male with back pain has been referred to your office. His primary care physician ordered x-rays…
A 70-year-old, right-hand-dominant woman returns to clinic complaining of persistent, right shoulder pain. Sh…
You are called by the emergency department to see a 50-year-old male who reported a wound on his leg yesterda…
A patient is brought to the emergency room trauma bay after a motor vehicle collision. During the initial tra…
A 29-year-old woman presents to you with pain on the medial aspect of the ankle and numbness and tingling on …
A 70-year-old, right-hand-dominant woman presents to clinic with right shoulder pain and weakness. She has ha…