Crack the Case: Bony Bankart Hillsachs Shoulder Injuries
A 33-year-old male presents to the ED after a fall during a soccer game. He reports significant right shoulde…
Orthopedic Teaching Cases
A 33-year-old male presents to the ED after a fall during a soccer game. He reports significant right shoulde…
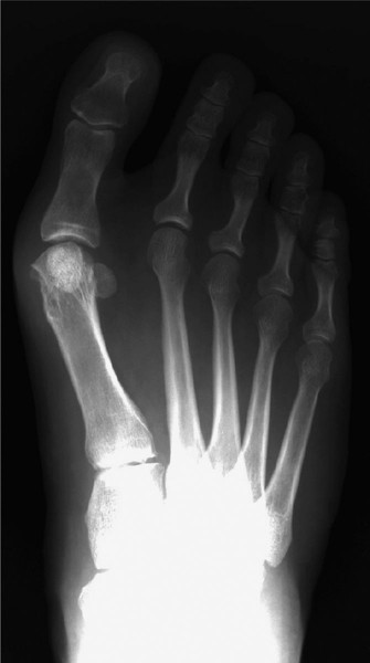
A 58-year-old woman comes to clinic reporting that her previous surgeon has performed two procedures on her f…
A 71-year-old male is brought to the ER after sustaining a motor vehicle crash. During routine trauma workup,…
A 32-year-old, professional ballet dancer presents with right ankle pain. She reports that she has had severa…
A 49-year-old female with several vertebral compression fractures presents to your office with an MRI of the …
A 55-year-old female with a history of rheumatoid arthritis diagnosed at age 40 presents to your clinic compl…
A 59-year-old male who has not seen a physician in 10 years reports to your office for ambulatory dysfunction…
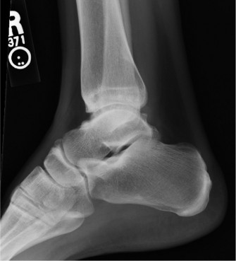
A 47-year old woman presents with 2 years of atraumatic hindfoot pain. She has noticed the gradual onset of p…
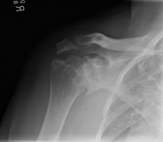
A 55-year-old, right-hand-dominant female presents with right shoulder pain for 6 months. She localizes the p…
CASE 38 You are on-call in the emergency room and are paged to see three differ…
A 45-year-old, male laborer presents with elbow pain after an injury at work. He was carrying a heavy object,…
A 72-year-old female presents with progressive bilateral hip and pelvic soreness as well as back pain and hea…