Sliding Hip Screwplate: Do you always biopsy hip metastases first?
A 45-year-old female with known metastatic breast cancer is referred to you by her oncologist. She has alread…
Orthopedic Teaching Cases
A 45-year-old female with known metastatic breast cancer is referred to you by her oncologist. She has alread…
CASE 47 The patient is a 74-year-old man involved in a motor vehicle collision …
CASE 31 A 17-year-old patient presents for evaluation. He reports that after ra…
CASE 7 A 6-year-old boy presents to your office with a limp. It is difficult f…
CASE 2 An 18-month-old, male child comes to your office accompanied by his par…
CASE 45 The patient is a 48-year-old, diabetic, male smoker who presents to the…
CASE 17 A 10-year-old female soccer player presents to the sports clinic with a…
CASE 46 The patient is an 18-year-old woman who sustained a laceration to the r…
CASE 7 A retired, 80-year-old, Caucasian, male obstetrician is asked to see yo…
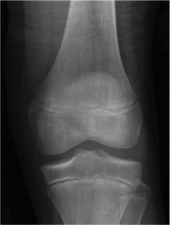
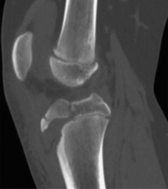
CASE 9 A 14-year-old boy is brought to the ER with complaints of right knee pa…
CASE 2 An 18-year-old soccer player injures her knee during competition. She r…
CASE 12 A 24-year-old, law student injured her left index finger during a volle…