Multidirectional Instability MDI: Spot & Treat Shoulder Instability
A 17-year-old gymnast presents to clinic with right shoulder pain. She denies any specific injury but reports…
Orthopedic Teaching Cases
A 17-year-old gymnast presents to clinic with right shoulder pain. She denies any specific injury but reports…
A 72-year-old, right-hand-dominant male with a history of type 2 diabetes, hypertension, and coronary artery …
CASE 25 A 6-year-old boy with leg length difference presents to your clinic. He…
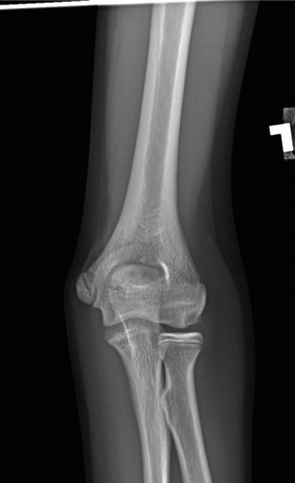
A 9-year-old, baseball pitcher presents to the office with 4 weeks of elbow pain of his throwing arm. He deni…
A 14-year-old baseball pitcher presents to the office with left throwing elbow pain for the past two months w…
A 55-year-old, right-hand-dominant male presents to the office complaining of medial-sided, right elbow pain …
A 45-year-old, right-hand-dominant, male plumber presents with elbow pain of insidious onset. He denies any i…
CASE 26 A 2-year-old African-American girl presents with progressive bowing of …
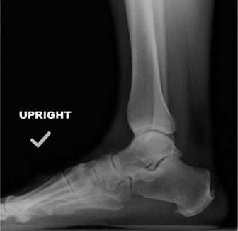
A 57-year-old female presents with an 8-month history of pain at the Achilles tendon insertion. She reports a…
A 28-year-old, recreational athlete presents to your clinic with shoulder pain and a history of multiple subl…
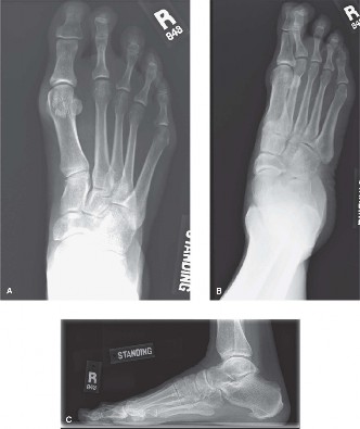
A 50-year-old male presents with 6 months of atraumatic forefoot pain. He has noticed the gradual onset of pa…
A 14-year-old male presents to your office with a chief complaint of swelling about the left knee and decreas…