Nail Injury Decision: Is Repair of the Nail Always Needed?
CASE 11 A 26-year-old female was traveling with her fiancé. At a rest stop, as …
Orthopedic Teaching Cases
CASE 11 A 26-year-old female was traveling with her fiancé. At a rest stop, as …
CASE 21 A 4-year-old male presents to your office as a self-referral by his mot…
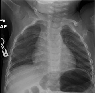
CASE 23 A 2-week-old girl, born to a G1P1 mother, is brought to you for evaluat…
CASE 19 A 14-year-old female soccer player presents with a 1 year history of an…
CASE 12 You are in your scoliosis clinic today and your patients are already in…
CASE 4 An 11-year-old girl was transferred from an outside hospital for furthe…
CASE 8 A 7-year-old girl is transferred to the ER after suffering an injury pl…
CASE 3 It is a busy night in the emergency room—you have just been consulted o…
CASE 1 An 8-year-old girl is brought to the ER by her mother after she fell from the monkey bars during reces…
CASE 10 You are called to the emergency room to evaluate a 13-year-old male com…
CASE 15 A 12-year-old male presents to the orthopaedic clinic with several mont…
CASE 5 A 30-year-old male fell while he was out for a run. He landed awkwardly…