Deciphering Flexor Carpi Radialis Injuries in Pediatric Cases
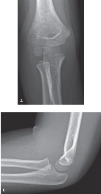
CASE 4 An 11-year-old girl was transferred from an outside hospital for furthe…
Orthopedic Teaching Cases
CASE 4 An 11-year-old girl was transferred from an outside hospital for furthe…
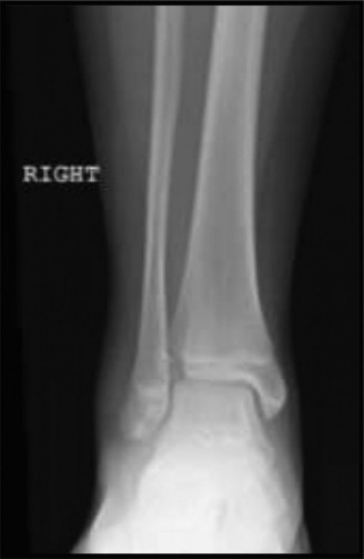
CASE 8 A 7-year-old girl is transferred to the ER after suffering an injury pl…
CASE 3 It is a busy night in the emergency room—you have just been consulted o…
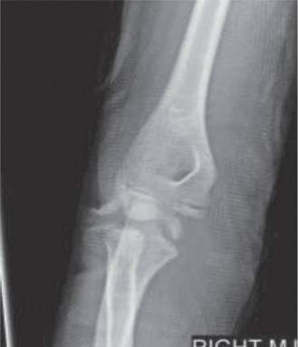
CASE 10 You are called to the emergency room to evaluate a 13-year-old male com…
CASE 15 A 12-year-old male presents to the orthopaedic clinic with several mont…
CASE 5 A 30-year-old male fell while he was out for a run. He landed awkwardly…
CASE 17 During the course of examination of finger injuries in the emergency ro…
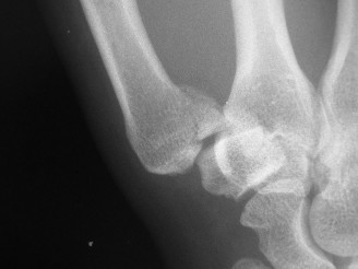
CASE 21 A 22-year-old patient presents after sustaining an injury to her finger…
A 24-year-old male sustained an injury to his right thumb while skiing. He was holding onto a ski pole when h…
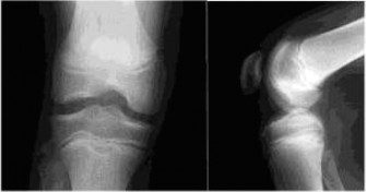
CASE 5 A 4-year-old girl fell from a playground structure, suffering the injur…
CASE 28 A 19-year-old male mechanic presents with a painless, fleshy mass protr…
CASE 18 A 30-year-old radiographer from your institution was helping to set up …