Bent Finger? Identify & Treat Your Soft Tissue Mallet Now
CASE 8 A 17-year-old male sustained an injury to his middle finger while catch…
Orthopedic Teaching Cases
CASE 8 A 17-year-old male sustained an injury to his middle finger while catch…
CASE 19 A 64-year-old, right-hand-dominant, Caucasian female presents to your o…
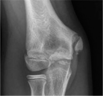
CASE 38 The patient is a 5-year-old boy who is referred into the emergency depa…
CASE 34 A patient sustains a laceration at the level of the middle phalanx of t…
CASE 20 A 16-year-old, right-handed female presents to your office with complai…
CASE 18 You are performing preparticipation physicals for the local youth sport…
CASE 33 A 64-year-old man presents with the complaint of inability to place his…
CASE 25 A 42-year-old man presents to the hospital with pain and swelling of th…
CASE 2 A 6-year-old boy fell from the monkey bars a few hours ago and had imme…
CASE 6 During a recreational game of basketball, a 47-year-old man twists his …
CASE 5 A 24-year-old graduate student twists her knee while walking in high he…
CASE 50 The patient is a 51-year-old male construction worker who presents with…