Unlock Wrist Diagnosis: Cases Guided by Figure Sunil Thirkannad
CASE 11 A patient presents to your clinic with ulnar-sided wrist pain. X-ray is…
Orthopedic Teaching Cases
CASE 11 A patient presents to your clinic with ulnar-sided wrist pain. X-ray is…
CASE 11 A 33-year-old male presents to the ED after a fall during a soccer game…
CASE 1 A 76-year-old, right-hand-dominant man presents to clinic complaining of right shoulder pain. The pain…
CASE 21 A 15-year-old high school football linebacker is seen in your office fo…
CASE 21 Following an intense game of football, a player is brought to you with …
Principles of foot and ankle Interdigital neuroma 408 arthrodesis 385 Lesser toe deformities 409 Hallux…
CASE 20 A 72-year-old, right-hand-dominant male with a history of type 2 diabet…
CASE 11 A 45-year-old man is brought to the trauma bay after falling from his r…
Surgery of the Hip Primary total hip arthroplasty 239 Revision total hip arthroplasty 255 Hip resurfaci…
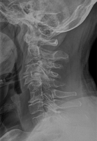
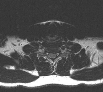
A 63-year-old male sustained a hyperextension injury to his neck while diving into a pool. Upon presentation,…
CASE 30 You are asked to evaluate a 48-year-old obese woman who presented to th…
Wrist arthroscopy Preoperative planning Indications Assessment and treatment of radiocarpal and mid-carpal …