Anaesthesia in Orthopaedic: Optimize Safety & Outcomes
Anaesthesia in Orthopaedic Surgery Introduction 1 Preoperative assessment 1 Intraoperative techniques 5 P…
Orthopedic Teaching Cases
Anaesthesia in Orthopaedic Surgery Introduction 1 Preoperative assessment 1 Intraoperative techniques 5 P…
Anterior approach to the cervical spine (C3-T1) 25 Posterior approach to the cervical spine (C2-C7) 31 Post…
Surgery of the Peripheral Nerve Carpal tunnel decompression Ulnar nerve decompressio n at the wrist Ulnar…
CASE 40 A 16-year-old male baseball player presents to your office for evaluati…
CASE 21 A 15-year-old high school football linebacker is seen in your office fo…
Primary total knee replacement 279 Distal femoral osteotomy 309 Revision total knee replacement 293 Pro…
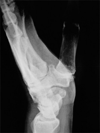
CASE 11 A patient presents to your clinic with ulnar-sided wrist pain. X-ray is…
CASE 21 Following an intense game of football, a player is brought to you with …
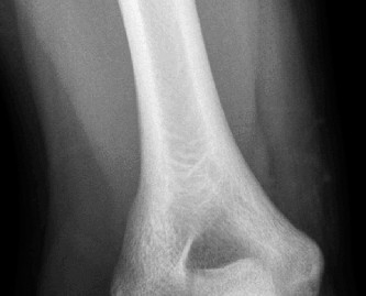
CASE 11 A 45-year-old man is brought to the trauma bay after falling from his r…
CASE 1 A 63-year-old male sustained a hyperextension injury to his neck while diving into a pool. Upon presen…
CASE 1 A 76-year-old, right-hand-dominant man presents to clinic complaining of right shoulder pain. The pain…
Pediatric Orthopedic Surgery Epiphysiodesis Developmental dysplasia of 443 Slipped upper femoral epiphysis:…