Solve Shoulder & Elbow Cases: When a Patient Presents to Clinic
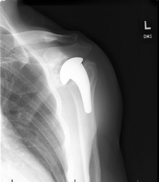
CASE 20 A 72-year-old, right-hand-dominant male with a history of type 2 diabet…
Orthopedic Teaching Cases
CASE 20 A 72-year-old, right-hand-dominant male with a history of type 2 diabet…
Surgery of the Peripheral Nerve Carpal tunnel decompression Ulnar nerve decompressio n at the wrist Ulnar…
Pediatric Orthopedic Surgery Epiphysiodesis Developmental dysplasia of 443 Slipped upper femoral epiphysis:…
Principles of limb reconstruction 427 Principles of deformity correction 436 Surgical techniques 428 In…
Dupuytren’s surgery 193 Tendon transfers 224 Synovial cyst treatment 201 Soft tissue reconstruction 228…
CASE 1 A 76-year-old, right-hand-dominant man presents to clinic complaining of right shoulder pain. The pain…
二 简答题:( 10分/题) 1 简述原发性下肢静脉曲张的并发症及其处理 答: A:血栓性浅静脉炎 ;可选用抗生素及局部热敷治疗,炎症消退后实施手术治疗 B溃疡形成;创面湿敷,抬高患肢以利于回流,较浅的溃疡一般都能愈合…
2006级硕士外科学专业课考试试题: 一 名词解释( 5分/题) 单纯性甲状腺肿 肛裂 “三联征” 乳房 “酒窝征” 枕骨大孔疝 Colles骨折 二 简答题:( 10分/题) 1 简述原发性下肢静脉曲张的并发症及其处…
中山医科大学 2000 硕士入学外科试题 1. 选择题 2. 名词解释 ( 1 )压力性?充盈性?尿失禁( 2 )先天性肠旋转不良 ( 3 )( 4 )枢椎 hangmans 骨折 ( 5 )脊髓损伤三阶段 3. 问答…
Examination questions for grade 2019 One, single-choice question (1 x 6 points) 1. Esophageal in situ cancer …
2012 2011 2010 2009 年哈医大外科专业笔试题 (一)普外部分 甲状腺大部切除术适应征 P291 ⑴因气管、食管或喉返神经受引起临床症者;⑵胸骨后甲状腺肿;⑶巨大甲状腺肿影响生活和工作者;⑷结节性甲状…
2023 Graduate Professional Examination of Note to candidates: all answers must be answered on the answer shee…