Ace the Enchondroma Examination Question: Diagnosis & Management
Orthopaedic oncology Structured oral examination question 2: Enchondroma Figure 7.2 Enchondroma. EXAMINER : T…
Orthopedic Teaching Cases
Orthopaedic oncology Structured oral examination question 2: Enchondroma Figure 7.2 Enchondroma. EXAMINER : T…
Lower limb Trauma Structured oral examination question 4 A 33-year-old roofer fell from a height of 20-feet, …
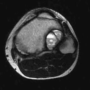
Orthopaedic oncology Structured oral examination question 8: Ewing ’ s sarcoma EXAMINER : This is a histology…
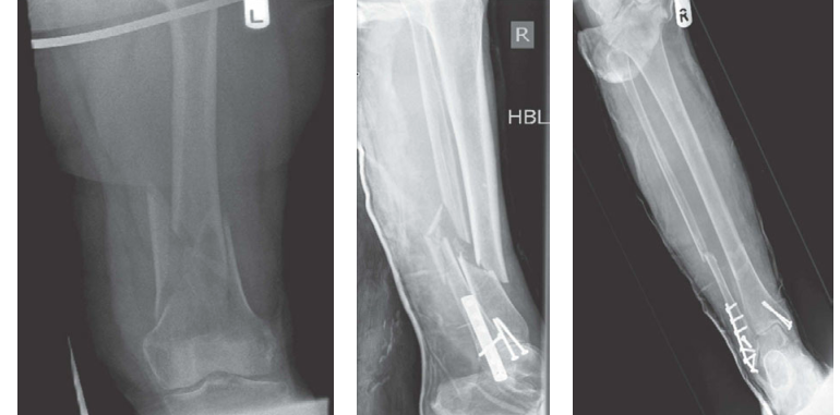
Lower limb Trauma Structured oral examination question 8 A 72-year-old woman, fully independent with good hea…
Orthopaedic oncology Structured oral examination question 5: Chondrosarcoma EXAMINER : This is a very fit and…
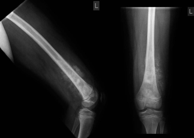
Orthopaedic oncology Structured oral examination question 6: Osteosarcoma EXAMINER : This young lad presented…
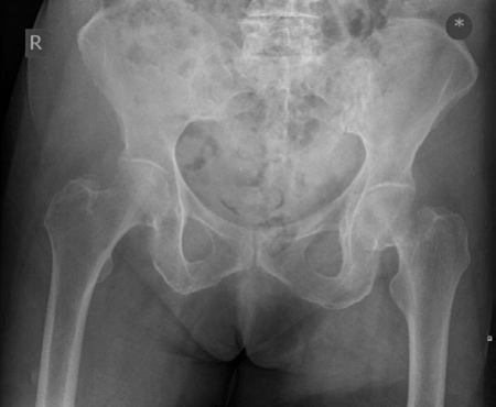
Lower limb Trauma Structured oral examination question 7 A 78-year-old woman fell out of her bed and sus- tai…
Lower limb Trauma Structured oral examination question 2 A 79-year-old woman fell in her garden sustaining th…
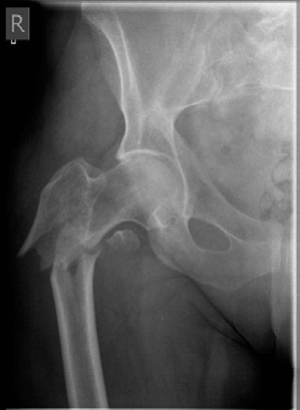
Lower limb Trauma Structured oral examination question 6 A 50-year-old woman, front-seat passenger, was invol…
Comprehensive guide to distal radius fractures. Learn about epidemiology, AO/OTA classification, and treatmen…
oncology Structured oral examination question 7: Aneurysmal bone cyst EXAMINER : This is a 20-year-old man wh…
Orthopaedic oncology Generic structured oral examination question 1: Biopsy EXAMINER : So how would you obtai…