Oral Questions Lumbar: Master Spinal Stenosis & Myelopathy
Spine structured oral questions5: Lumbar spinal stenosis and cervical myelopathy EXAMINER : A 70-year-old lad…
Orthopedic Teaching Cases
Spine structured oral questions5: Lumbar spinal stenosis and cervical myelopathy EXAMINER : A 70-year-old lad…
Shoulder and elbow structured oral examination question1 EXAMINER : This is a radiograph of the left shoulder…
Spine structured oral questions3: The prolapsed intervertebral disc EXAMINER : A 37-year-old man has been ref…
Elbow structured oral examination question 3 EXAMINER : What do you see in this radiograph of a 67- year-old …
Shoulder and elbow structured oral examination question4 EXAMINER : This is a radiograph of a 63-year-old gen…
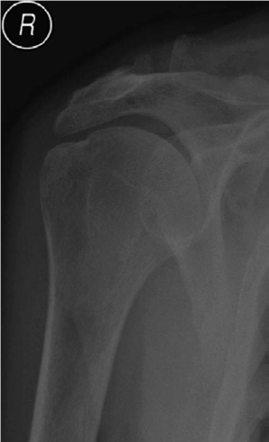
Shoulder and elbow structured oral examination question3 EXAMINER : This is a radiograph of right shoulder of…
Spine structured oral questions6: Spondylolisthesis EXAMINER : What is this? ( Figure 5.8 .) CANDIDATE : I ca…
Elbow structured oral examination question 5 EXAMINER : I have a problem with my left elbow. Proceed. CANDIDA…
Elbow Make a list of conditions causing painful, locking, stiff, flail and unstable elbow. Painful elbow path…
KNEE Structured oralexamination question4: Unicondylar knee arthroplasty ( UKA ) versus high tibial osteotomy…
KNEE Structured oralexamination question5: Unicondylar knee arthroplasty (UKA) versus total knee replacement …
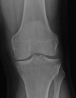
Structured oral examination question 8: Patellar instability EXAMINER : A 17-year-old lady is referred to you…