Ace the Enchondroma Examination Question: Diagnosis & Management
Orthopaedic oncology Structured oral examination question 2: Enchondroma Figure 7.2 Enchondroma. EXAMINER : T…
Orthopedic Teaching Cases
Orthopaedic oncology Structured oral examination question 2: Enchondroma Figure 7.2 Enchondroma. EXAMINER : T…
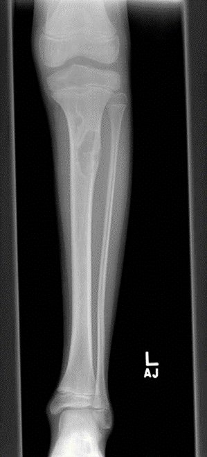
Orthopaedic oncology Structured oral examination question 3: Non-ossifying fibroma EXAMINER : Tell me about t…
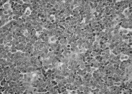
Orthopaedic oncology Structured oral examination question 8: Ewing ’ s sarcoma EXAMINER : This is a histology…
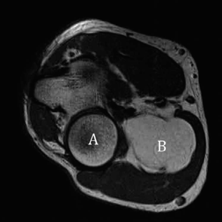
Orthopaedic oncology Structured oral examination question 9: Lipoma EXAMINER : This is an MRI of a patient wh…
Elbow structured oral examination question 4 EXAMINER : Good morning. Here are the radiographs of a righthand…
Elbow structured oral examination question 5 EXAMINER : I have a problem with my left elbow. Proceed. CANDIDA…
Elbow structured oral examination question 2 EXAMINER : Look at these radiographs of of the right elbow of a …
Spine structured oral questions2: Infection (epidural abscess) EXAMINER : A 68-year-old man with a past histo…
Shoulder and elbow structured oral examination question2 EXAMINER : Good afternoon. Can you tell me what is g…
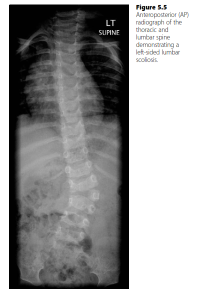
Structured oral examination question 4: Scoliosis EXAMINER : What can you see? ( Figure 5.5 .) CANDIDATE : Th…
Shoulder and elbow structured oral examination question5 EXAMINER : Good afternoon. Can you tell me the findi…
Spine structured oral questions3: The prolapsed intervertebral disc EXAMINER : A 37-year-old man has been ref…