Oral Questions Lateral: Ankle Instability Exam Prep
Foot and ankle structured oral questions1: Lateral ligament instability of the ankle EXAMINER . Tell me what …
Orthopedic Teaching Cases
Foot and ankle structured oral questions1: Lateral ligament instability of the ankle EXAMINER . Tell me what …
KNEE Structured oral examination question2: Meniscus – basic science EXAMINER : Tell me about the anatomy and…
KNEE Structured oral examination question1: TKR in valgus knee EXAMINER : This is a radiograph of a 72-year-o…
Foot and ankle structured oral questions7: Hallux rigidus EXAMINER : This 45-year-old male patient has presen…
KNEE Structured oral examination question7: Revision knee replacement EXAMINER : Have a look at these images …
Foot and ankle structured oral questions5: Acquired adult flatfoot EXAMINER : I would like you to look at thi…
Structured oral examination question 4: Cavus foot EXAMINER : These are pictures of the left foot of a 20- ye…
KNEE Structured oralexamination question6: Anterior cruciate ligament (ACL) and posterior cruciate ligament (…
Foot and ankle structured oral questions2: Ankle arthritis EXAMINER : Describe the findings on this X-ray. ( …
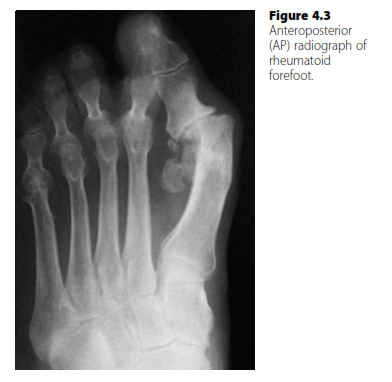
Foot and ankle structured oral questions3: The rheumatoid foot EXAMINER : Please have a look at this radiogra…
KNEE Structured oralexamination question9: Malalignment of total knee replacement (TKR) components EXAMINER :…
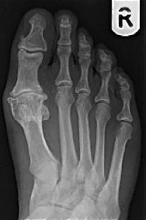
Foot and ankle structured oral questions6: Hallux valgus EXAMINER : Please have a look at these clinical phot…