Optimizing TKR in Valgus: Expert Strategies for Complex Cases
KNEE Structured oral examination question1: TKR in valgus knee EXAMINER : This is a radiograph of a 72-year-o…
Orthopedic Teaching Cases
KNEE Structured oral examination question1: TKR in valgus knee EXAMINER : This is a radiograph of a 72-year-o…
Structured Hip Oral Examination Question 2 EXAMINER : This is an anteroposterior (AP) radiograph of a 52-year…
Section 7: The trauma oral 23. Trauma oral topics 401 23. T rauma or al topics 403 Abayomi Animasha wun and P…
Structured Oral Hip Examination Question 6 EXAMINER : This is an anteroposterior (AP) radiograph of a 72year-…
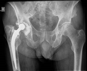
Structured Oral Hip Examination Question 4 EXAMINER : These are the radiographs of a 78-year-old lady who has…
Hip structured oral questions Structured Hip oral examination question 1 EXAMINER : This is a radiograph of a…
Structured Oral Hip Examination Question 3 EXAMINER : This is an anteroposterior (AP) radiograph of a 78-year…
Structured Oral Hip Examination Question 7 EXAMINER : This is a radiograph of a 68-year-old woman who has bee…
The basic science oral Basic science oral core topics Embryology Limb embryology At 3 weeks in utero (wiu) Ga…
Oral exam questions On average you will spend 5 minutes on each oral viva topic. Should a question have a som…
Practicalities of the oral exam The viva or structured oral examination consists of four 30-minute orals: tra…
Marking system A closed marking system is used from 4 to 8 and this equates to the following: 4 – Poor fail. …