102 Degrees, High Heart Rate: Act Fast on Necrotizing Hand Infections
CASE 25 A 42-year-old man presents to the hospital with pain and swelling of th…
Orthopedic Teaching Cases
CASE 25 A 42-year-old man presents to the hospital with pain and swelling of th…
CASE 2 A 6-year-old boy fell from the monkey bars a few hours ago and had imme…
CASE 6 During a recreational game of basketball, a 47-year-old man twists his …
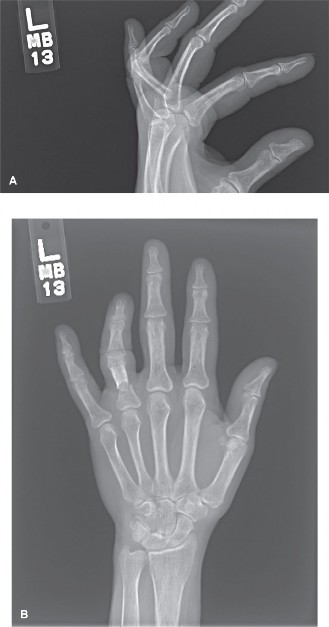
CASE 46 The patient is an 18-year-old woman who sustained a laceration to the r…
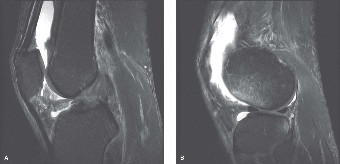
CASE 5 A 24-year-old graduate student twists her knee while walking in high he…
CASE 6 A 12-year-old girl presents to clinic with complaints of right hip pain…
CASE 50 The patient is a 51-year-old male construction worker who presents with…
CASE 45 The patient is a 48-year-old, diabetic, male smoker who presents to the…
CASE 49 The patient is a 36-year-old otherwise healthy male who presents with a…
Case 22 You are called to the newborn nursery to evaluate a 1-day-old girl who has not moved her right arm si…
CASE 2 An 18-year-old soccer player injures her knee during competition. She r…
CASE 13 A 56-year-old homemaker fell down the steps of her basement injuring he…