Exposed Tendon & Hand Wounds: Which Thickness Skin Graft is Best?
CASE 49 The patient is a 36-year-old otherwise healthy male who presents with a…
Orthopedic Teaching Cases
CASE 49 The patient is a 36-year-old otherwise healthy male who presents with a…
CASE 16 A 61-year-old, diabetic male presents with difficulty moving his domina…
CASE 29 An 8-month-old patient presents with her parents for evaluation of her …
CASE 10 A 24-year-old, ultimate frisbee player reinjures his previously reconst…
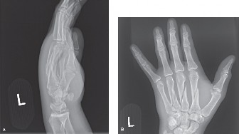
CASE 1 A 28-year-old, right-hand-dominant male caught big air going off a jump while snowboarding for the fir…
CASE 1 An 8-year-old girl is brought to the ER by her mother after she fell from the monkey bars during reces…
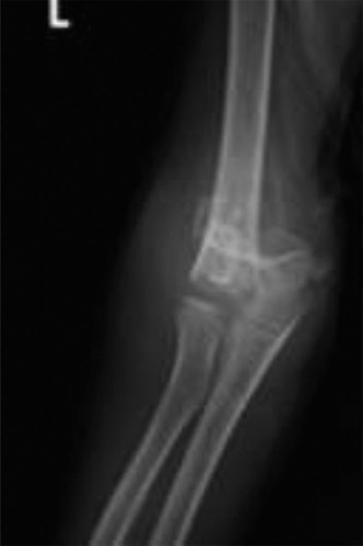
CASE 3 A 44-year-old man slips while dancing at a wedding. With the help of hi…
CASE 30 An 11-month-old patient is brought to you by his parents for “two thumb…
CASE 12 A 24-year-old, law student injured her left index finger during a volle…
CASE 35 A 28-year-old woman presents after flexor tendon repair in zone 2. Desp…
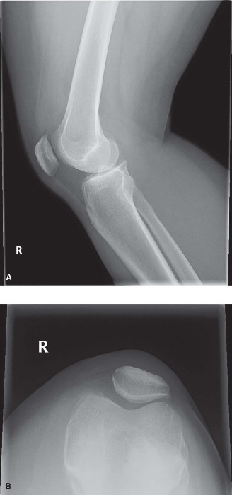
CASE 2 An 18-year-old soccer player injures her knee during competition. She r…
CASE 4 A 54-year-old skier injures his right knee on the last run of the day. …