Orthopedic Recon Hip & Knee Board Review | Dr Hutaif Hi -...
Orthopedic MCQS Reconstruction Adult Reconstructive Surgery of the Hip and Knee Scored and Recorded Self-Asse…
Orthopedics online MCQS
Orthopedic MCQS Reconstruction Adult Reconstructive Surgery of the Hip and Knee Scored and Recorded Self-Asse…
ORTHOPEDIC MCQS 20 TRAUMA 1A What percentage of patients will complain of knee pain at the time of union of a…
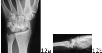
ORTHOPEDIC MCQS ONLINE HAND017 HAND AND WRIST SELF-SCORED EXAMINATION AAOS 2016 Question 1 of 100 Figures 1a …
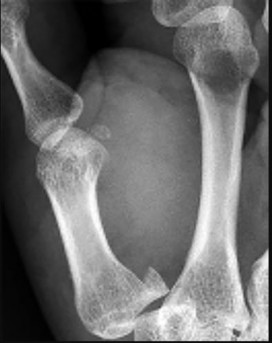
ORTHOPEDIC MCQS 011 PATHOLOGY 2011 Musculoskeletal Tumors Self-Assessment Exam by Dr.Dhahirortho 1 Question …
Orthopedic MCQS online Shoulder and Elbow 017 SHOULDER AND ELBOW SELF- SCORED SELF-ASSESSMENT EXAMINATION AAO…
ORTHOPEDIC MCQS ONLINE 014 UPPER EXTREMITY Shoulder and Elbow Self-Assessment Examination AAOS 2014 by Dr.Dha…
ORTHOPEDIC MCQS ONLINE 012 TRAUMA 2012 Musculoskeletal Trauma Self-Assessment Examination by Dr.Dhahirortho …
Orthopedic MCQS online Spine 0018 AAOS Adult spine self Assessment 2018 Question 1 of 100 When compared with …
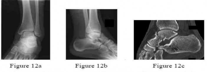
ORTHOPEDIC MCQS ONLINE 015FOOT and Ankle CLINICAL SITUATION FOR QUESTIONS 1 THROUGH 4 A B Figures 1a and 1b a…
ORTHOPEDIC MCQS ONLINE 014 PATHOLOGY Musculoskeletal Tumors and Diseases Self-Assessment Examination AAOS 201…
ORTHOPEDIC MCQS ONLINE OB 20 2B RECONSTRUCTION 156) A 66-year-old male undergoes the procedure shown in figur…
ORTHOPEDIC MCQS 011 UPPER EXTREMITY 2011 Upper Extremity Self-Assessment Exam by Dr.Dhahirortho 1 Question 1…