Distal Chevron Osteotomy: Essential Techniques for Success
SURGICAL MANAGEMENT The primary indication for a chevron osteotomy is symptomatic hallux valgus deformity wit…
Foot and Ankle
SURGICAL MANAGEMENT The primary indication for a chevron osteotomy is symptomatic hallux valgus deformity wit…
DEFINITION Arthrosis of the first metatarsophalangeal (MTP) joint is commonly seen in osteoarthritis (hallux …
DEFINITION Paul W. Lapidus originally described a procedure for the correction of hallux valgus in 1934. This…
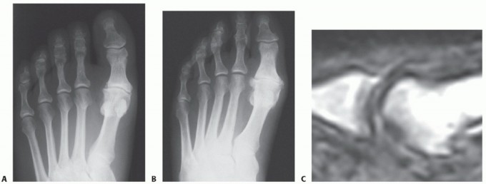
DEFINITION The first reports of a distal metatarsal osteotomy date back to Reverdin, who described in 1881 a …
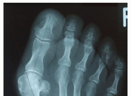
DEFINITION Turf toe injuries involve the capsular-ligamentous-sesamoid complex of the hallux metatarsophalang…
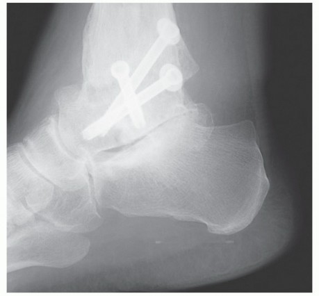
DEFINITION An isolated subtalar arthrodesis can be used in the treatment of a myriad of different hindfoot co…
DEFINITION Rheumatoid arthritis is an inflammatory condition of synovial joints that usually presents as a sy…
DEFINITION The Roto-Glide (Implants International, Cleveland, United Kingdom; distributed by Intercus, Bad Bl…
DEFINITION The plantar plate is a fibrocartilaginous structure that provides metatarsophalangeal (MTP) joint …
DEFINITION Hammer toe deformity is one of the most common lesser toe disorders. Its severity can range the ga…
DEFINITION Hallux rigidus, osteoarthrosis of the first metatarsophalangeal (MTP) joint, was first described b…
DEFINITION The posterior tibial tendon undergoes tearing and degeneration, and as it fails, the foot falls in…