Regain Mobility: Surgical Solutions for Charcot Foot Arthropathy
DEFINITION Charcot foot arthropathy is an inflammatory disease process that primarily affects the foot and an…
Foot and Ankle
DEFINITION Charcot foot arthropathy is an inflammatory disease process that primarily affects the foot and an…
DEFINITION Hallux rigidus is a degenerative condition of the first metatarsophalangeal (MTP) joint. This lead…
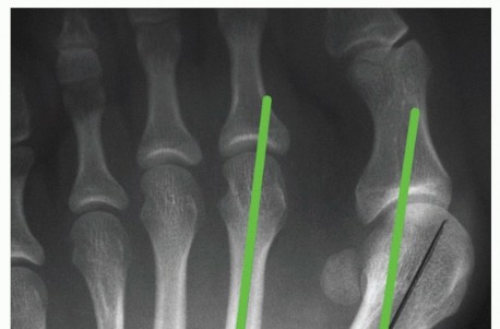
SURGICAL MANAGEMENT The primary indication for a proximal closing wedge osteotomy is a symptomatic hallux val…
DEFINITION A calcaneal malunion refers to residual bony malalignment and associated clinical sequelae resulti…
DEFINITION Forefoot varus is a component of the multiplanar pes planovalgus deformity that occurs as a result…
DEFINITION The distal chevron osteotomy has proven to be a reliable, reproducible method of bunion repair for…
DEFINITION This is a procedure to definitively treat midfoot arthrosis with or without deformity. ANATOMY Mid…
DEFINITION Hallux sesamoid bone fracture is a break through the sesamoid bone or cartilage. Medial sesamoid b…
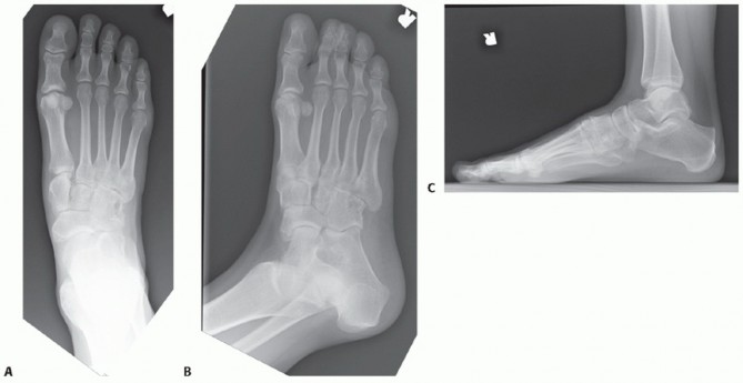
DEFINITION Hallux valgus is a deformity of the forefoot characterized by progressive lateral subluxation of t…
DEFINITION Turf toe injuries involve the capsular-ligamentous-sesamoid complex of the hallux metatarsophalang…
DEFINITION Sesamoiditis is a general term that indicates an injury to the sesamoid bone. There are multiple p…
DEFINITION Morton neuroma was first described in 1845 by Lewis Durlacher, a chiropodist to the Queen of Engla…