Surgical Strategies for Freiberg: Alleviating Dorsal Metatarsal Head Pain
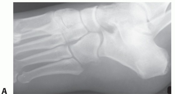
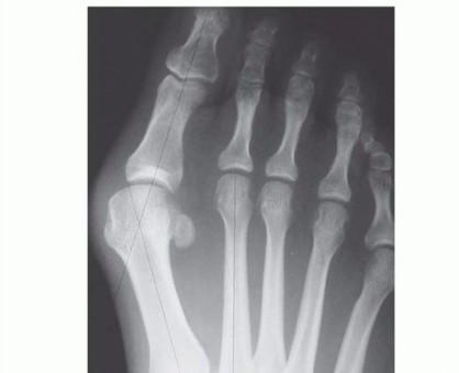
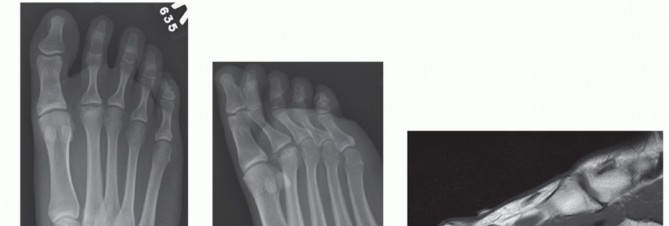
DEFINITION Freiberg infraction is an osteochondrosis of a lesser metatarsal head, most commonly involving the…
Foot and Ankle
DEFINITION Freiberg infraction is an osteochondrosis of a lesser metatarsal head, most commonly involving the…
DEFINITION A tarsal coalition is an abnormal fusion between two adjacent tarsal bones. Less than 2% of the ge…
DEFINITION Hallux rigidus refers to limited dorsiflexion of the first metatarsophalangeal (MTP) joint as a re…
DEFINITION Shortening of the first metatarsal may occur after first metatarsal osteotomies for hallux valgus …
DEFINITION Hallux valgus is a static subluxation of the first metatarsophalangeal (MTP) joint with medial dev…
SURGICAL MANAGEMENT Roger A. Mann Jeffrey A. Mann The distal soft tissue procedure and proximal metatarsal os…
DEFINITION Posterior tibial tendon deficiency is a common pathologic foot and ankle deformity encountered by …
DEFINITION Symptomatic hallux valgus associated with a first intermetatarsal angle greater than 15 degrees is…
BACKGROUND Varus or valgus angulation of the lesser toes can result in significant pain and disability and ca…
DEFINITION Paul W. Lapidus originally described a procedure for the correction of hallux valgus in 1934. This…
SURGICAL MANAGEMENT Roland Walker Paul Hamilton Sam Singh The primary indication for a scarf osteotomy is sym…
BACKGROUND The proximal opening wedge osteotomy is one of the more than 150 procedures described for the trea…