Mastering Pediatric Fractures and Dislocations: Essential Principles
PEDIATRIC ORTHOPAEDIC SURGERY: GENERAL PRINCIPLES OVERVIEW The development and growth of the skeletal system …
TRAUMA
PEDIATRIC ORTHOPAEDIC SURGERY: GENERAL PRINCIPLES OVERVIEW The development and growth of the skeletal system …
PEDIATRIC ELBOW EPIDEMIOLOGY Elbow fractures represent 8% to 9% of all upper extremity fractures in children.…
TIBIA/FIBULA SHAFT Fractures EPIDEMIOLOGY Fractures of the tibia and fibula shaft are the most common long bo…
Atlantoaxial Rotary Subluxation and Dislocation In this rare injury, patients present with confusing complain…
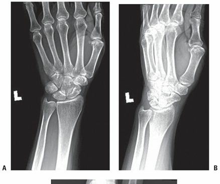
DISTAL RADIUS FRACTURES EPIDEMIOLOGY Distal radius fractures are among the most common fractures of the upper…
SCAPULA FRACTURES EPIDEMIOLOGY This relatively uncommon injury represents 3% to 5% of shoulder fractures and …
Traumatic Spondylolisthesis of C2 (Hangman’s Fracture) This is associated with a 30% incidence of concomitant…
PERIPROSTHETIC FRACTURES TOTAL HIP ARTHROPLASTY Femoral Shaft Fractures Epidemiology Intraoperative: There is…
CERVICAL SPINE EPIDEMIOLOGY Cervical spine injuries usually occur secondary to high-energy mechanisms, includ…
C2 Lateral Mass Fractures Patients often present with neck pain, limited range of motion, and no neurologic i…
PEDIATRIC HIP PEDIATRIC HIP FRACTURES Epidemiology Hip fractures are rare in children, occurring less than 1%…
HAND INJURIES EPIDEMIOLOGY Metacarpal and phalangeal fractures are common, comprising 10% of all fractures; >…