Treatment for Congenital Femoral Deficiency: What You Need to Know
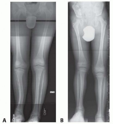
Treatment of Congenital Femoral Deficiency DEFINITION The term proximal focal femoral deficiency (PFFD) is us…
SURGICAL TECHNIQUES PEDIATRIC
Treatment of Congenital Femoral Deficiency DEFINITION The term proximal focal femoral deficiency (PFFD) is us…
Limb Lengthening Using the Ilizarov Method or a Monoplanar Fixator DEFINITION Limb lengthening is a surgical …
Proximal Hamstring and Adductor Lengthening DEFINITION Proximal hamstring lengthenings are primarily performe…
Guided Growth to Correct Limb Deformity DEFINITION The anatomic axis is the mid-diaphyseal line of a bone. Th…
Distal Hamstring Lengthening DEFINITION The gait pattern of children with cerebral palsy (CP) is frequently d…
57 Excision of Physeal Bar DEFINITION A physeal bar, or partial premature physeal arrest, is an osseous conne…
Proximal Femoral Varus Osteotomy Using a 90-Degree Blade Plate DEFINITION Proximal femoral varus osteotomy ca…
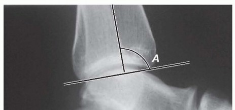
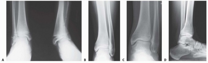
Distal Tibial Osteotomy DEFINITION Angular deformities of the distal tibia can lead to varus or valgus malali…
Rectus Femoris Transfer DEFINITION The gait pattern of children with cerebral palsy (CP) is frequently disrup…
Surgical Management of Blount Disease DEFINITION Blount disease, also known as idiopathic tibia vara and oste…
Lengthening of Gastrocnemius Fascia DEFINITION Lengthening of gastrocnemius fascia is commonly performed for …
Multiple Percutaneous Osteotomies and Fassier-Duval Telescoping Nailing of Long Bones in Osteogenesis Imperfe…