Mastering Pinning of Supracondylar Fractures: A Surgical Guide
Chapter 8 Closed Reduction and Percutaneous Pinning of Supracondylar Fractures of the Humerus Paul D. Choi Da…
SURGICAL TECHNIQUES PEDIATRIC
Chapter 8 Closed Reduction and Percutaneous Pinning of Supracondylar Fractures of the Humerus Paul D. Choi Da…
Chapter 32 Intramedullary Nailing of the Mature Tibia Mark A. Lee Jonathan G. Eastman Brett Crist DEFINITION …
Chapter 21 Sternoclavicular Fracture Injury R. Jay Lee Afamefuna M. Nduaguba David A. Spiegel DEFINITION Ster…
Chapter 34 Tibial Tuberosity Fractures Eric W. Edmonds DEFINITION Tibial tuberosity fractures are rare fractu…
Chapter 36 Open Reduction and Internal Fixation of the Mature Ankle Sanjit R. Konda Kenneth A. Egol DEFINITIO…
Chapter 17 Plate Fixation of Humeral Shaft Fractures Matthew J. Garberina Charles L. Getz DEFINITION Humeral …
Chapter 28 Distal Femoral Physeal Fractures Martin J. Herman DEFINITION Fractures of the distal femoral physi…
Volar Plating of Distal Radius Fractures Volar Plating of Distal Radius Fractures DEFINITION Distal radius fr…
Chapter 22 Pediatric Hip Fractures Ernest L. Sink Benjamin F. Ricciardi DEFINITION Pediatric hip fractures co…
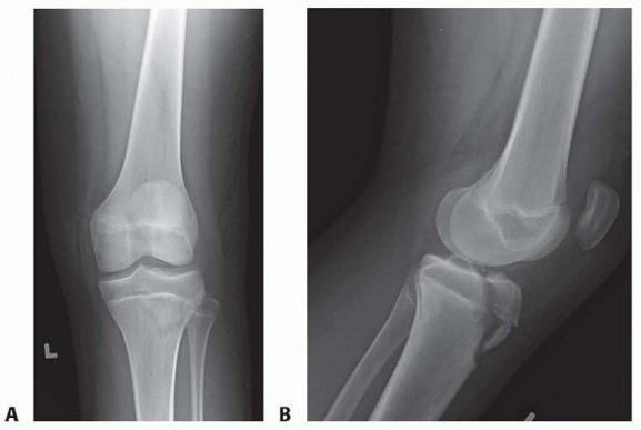
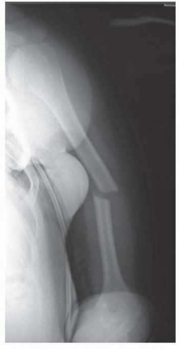
Chapter 11 Open Reduction and Internal Fixation of Radial Head and Neck Fractures Yung Han George Frederick H…
Chapter 4 Open Reduction and Internal Fixation of Diaphyseal Forearm Fractures Lee M. Reichel John R. Dawson …
Chapter 16 Humeral Shaft Fracture Stabilization with Elastic Nails Nathan W. Skelley J. Eric Gordon DEFINITIO…