Navigating Pediatric Ankle Fractures: Avoiding Premature Physeal Closure
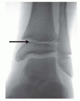
Chapter 35 Pediatric Ankle Fractures Scott J. Mubarak Andrew T. Pennock DEFINITION Ankle fractures account fo…
SURGICAL TECHNIQUES PEDIATRIC
Chapter 35 Pediatric Ankle Fractures Scott J. Mubarak Andrew T. Pennock DEFINITION Ankle fractures account fo…
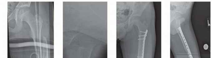
Chapter 22 Pediatric Hip Fractures Ernest L. Sink Benjamin F. Ricciardi DEFINITION Pediatric hip fractures co…
Chapter 26 Submuscular Plating of Pediatric Femur Fractures Ernest L. Sink Benjamin F. Ricciardi DEFINITION S…
P R O C E D U R E 1 Modified Woodward Procedure for Sprengel’s Deformity Charles A. Goldfarb and Jakub S. Lan…
Chapter 15 Supracondylar Humeral Osteotomy for Correction of Cubitus Varus Yi-Meng Yen Richard E. Bowen Norma…
Chapter 31 External Fixation of the Mature Tibia J. Tracy Watson DEFINITION Indications for external fixation…
Chapter 38 Fasciotomy of the Leg for Acute Compartment Syndrome George Partal Andrew Furey Robert V. O'Toole …
Chapter 29 Open Reduction and Internal Fixation of the Distal Femur Animesh Agarwal DEFINITION Distal femur f…
Chapter 3 Intramedullary Fixation of Forearm Shaft Fractures Charles T. Mehlman DEFINITION Forearm shaft frac…
Chapter 12 Management of Simple Elbow Dislocation Bradford O. Parsons David M. Lutton DEFINITION Simple elbow…
Chapter 33 Intramedullary Nailing of Metaphyseal Proximal and Distal Fractures of the Mature Tibia Robert Ost…
Chapter 6 Open Reduction and Internal Fixation of Fractures of the Medial Epicondyle Brian G. Smith Kristan A…