Mastering Anterior Interbody Arthrodesis with Instrumentation for Scoliosis
Chapter 59 Anterior Interbody Arthrodesis With Instrumentation for Scoliosis Daniel J. Sucato DEFINITION Thor…
SURGICAL TECHNIQUES PEDIATRIC
Chapter 59 Anterior Interbody Arthrodesis With Instrumentation for Scoliosis Daniel J. Sucato DEFINITION Thor…
Chapter 75 Bernese Periacetabular Osteotomy Travis H. Matheney and Michael B. Millis DEFINITION Hip dysplasia…
Chapter 68 Medial Approach for Open Reduction of a Developmentally Dislocated Hip Lori A. Karol and Jeffrey E…
Chapter 80 Flexion Intertrochanteric Osteotomy for Severe Slipped Capital Femoral Epiphysis Young-Jo Kim and …
Chapter 60 Thoracoscopic Release and Fusion for Scoliosis Daniel J. Sucato DEFINITION Thoracoscopy provides t…
Chapter 77 Valgus Osteotomy for Developmental Coxa Vara Michael B. Millis and Joshua A. Strassberg DEFINITION…
Chapter 54 Release of the Sternocleidomastoid Muscle Gokce Mik and Denis S. Drummond DEFINITION The sternoc…
Chapter 72 Labral Support (Shelf) Procedure for Perthes Disease J. Richard Bowen DEFINITION The labral suppor…
Chapter 78 Valgus Osteotomy for Perthes Disease Ellen M. Raney DEFINITION Valgus osteotomy for Legg-Calvé-Per…
Chapter 56 Posterior Exposure of the Thoracic and Lumbar Spine James T. Guille and Reginald S. Fayssoux DEFIN…
Chapter 79 Percutaneous In Situ Cannulated Screw Fixation of the Slipped Capital Femoral Epiphysis Richard S.…
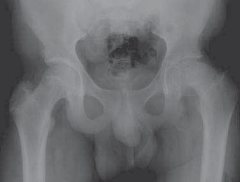
Chapter 70 Innominate Osteotomy of Salter Richard E. Bowen and Norman Y. Otsuka DEFINITION The Salter innomin…