Crucial Decisions: Syme & Boyd Amputations for Fibular Deficiency
Syme and Boyd Amputations for Fibular Deficiency DEFINITION Fibular deficiency, previously known as fibular h…
SURGICAL TECHNIQUES PEDIATRIC
Syme and Boyd Amputations for Fibular Deficiency DEFINITION Fibular deficiency, previously known as fibular h…
Chapter 17 Plate Fixation of Humeral Shaft Fractures Matthew J. Garberina Charles L. Getz DEFINITION Humeral …
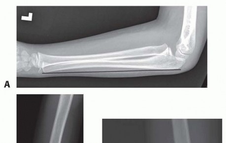
Chapter 9 Reconstruction for Missed Monteggia Lesion Apurva S. Shah Peter M. Waters DEFINITION Monteggia frac…
Chapter 29 Open Reduction and Internal Fixation of the Distal Femur Animesh Agarwal DEFINITION Distal femur f…
Chapter 30 Pediatric Tibial Fractures Craig P. Eberson DEFINITION Fractures of the tibia are common in childr…
Chapter 34 Tibial Tuberosity Fractures Eric W. Edmonds DEFINITION Tibial tuberosity fractures are rare fractu…
Chapter 21 Sternoclavicular Fracture Injury R. Jay Lee Afamefuna M. Nduaguba David A. Spiegel DEFINITION Ster…
Chapter 3 Intramedullary Fixation of Forearm Shaft Fractures Charles T. Mehlman DEFINITION Forearm shaft frac…
Chapter 32 Intramedullary Nailing of the Mature Tibia Mark A. Lee Jonathan G. Eastman Brett Crist DEFINITION …
Anterior Cruciate Ligament Reconstruction in the Skeletally Immature Patient DEFINITION Skeletally immature p…
Chapter 7 Open Reduction of Supracondylar Fractures of the Humerus Christine M. Goodbody John M. Flynn DEFINI…
Chapter 36 Open Reduction and Internal Fixation of the Mature Ankle Sanjit R. Konda Kenneth A. Egol DEFINITIO…