Precise Joint Dislocation Examination: AC Joint Diagnosis Demystified
KEY POINTS Acromioclavicular joint dislocation Examination corner Rockwood classification (1984)4 Or more sim…
Basic Sciences
KEY POINTS Acromioclavicular joint dislocation Examination corner Rockwood classification (1984)4 Or more sim…
Facts One of the most common skeletal injuries seen by physicians Fractures of the malleoli are caused by rot…
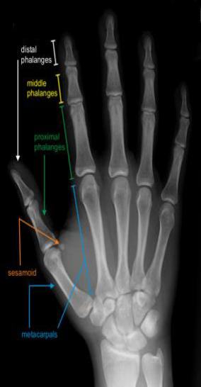
CARPAL Fractures and dislocations Facts Fractures and dislocations involving the carpus can be easily misdiag…
Facts Posterior dislocation is most common, often due to a fall on an outstretched hand The result of either …
Facts Usually the result of high-energy injuries Simple dislocations are rare, most are fracture-dislocations…
ACROMIOCLAVICULAR DISLOCATION Facts Imaging Classification Treatment Complications Facts More common in males…
Ankle fracture Facts One of the most common skeletal injuries seen by physicians Fractures of the malleoli ar…
Open Reduction and Internal Fixation of Jones Fracture DEFINITION A Jones fracture represents an acute injury…
2729 DEFINITION ■ The finger metacarpophalangeal joint (MCP joint) is com- monly and characteristically invol…
WHAT YOU NEED TO KNOW Direct trauma is usually the cause of most scapula fractures. Pain, swelling and bruisi…
Scapula Fractures overview. Summary Scapula Fractures are uncommon fractures to the shoulder girdle caused by…
Distal Radius Fracture (Wrist Fracture) Distal radius fractures are one of the most common types of bone frac…