Mastering Fibular Resections: An Intraoperative Guide to Oncologic Limb Salvage

Key Takeaway
Join us in the operating theater for a masterclass on fibular resections. We'll meticulously cover patient positioning, detailed surgical anatomy, and step-by-step intraoperative execution for benign-aggressive and malignant tumors. Learn precise techniques for curettage, Type I, and Type II resections, emphasizing neurovascular preservation and reconstruction. Gain insights into critical pearls, potential pitfalls, and comprehensive postoperative management to optimize patient outcomes.
Introduction and Epidemiology
The fibula represents a highly unusual and anatomically complex location for both primary and metastatic osseous neoplasms. Historically, the standard of care for primary malignant bone sarcomas arising in the fibula was an above-knee amputation. This radical approach was driven by the intricate neurovascular anatomy of the posterolateral corner of the leg and the perceived difficulty of achieving negative oncologic margins (R0 resection) without sacrificing the viability of the limb. However, advancements in orthopedic oncology, high-resolution cross-sectional imaging, neoadjuvant chemotherapeutic protocols, and refined microsurgical techniques have facilitated a paradigm shift toward limb-sparing procedures.
The Type I resection, classified under the Malawer oncologic surgical staging system as a proximal fibulectomy or marginal en bloc resection of the proximal fibula, has emerged as the gold standard for managing these complex lesions. When executed precisely, this procedure allows for complete tumor extirpation while preserving functional limb biomechanics and avoiding the profound psychological and physiological morbidity of amputation.
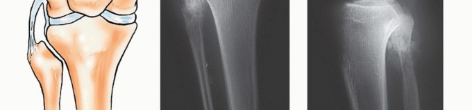
Epidemiologically, tumors of the fibula account for a relatively small fraction of all primary bone neoplasms. When tumors do manifest in this bone, they exhibit a strong predilection for the proximal fibula, followed by the fibular diaphysis, and least commonly, the distal fibula. A comprehensive review of institutional musculoskeletal oncology registries demonstrates a specific histologic distribution for proximal fibular tumors. Benign aggressive lesions, specifically giant cell tumors of bone (GCTs) and aneurysmal bone cysts (ABCs), are the most frequently encountered pathologies in this anatomic region.
Among malignant primary bone tumors, chondrosarcoma and osteosarcoma constitute the majority of cases, followed closely by Ewing sarcoma in the pediatric and adolescent populations. Benign osteochondromas and enchondromas also frequently present in the proximal fibular metaphysis and must be monitored for malignant transformation. Metastatic carcinomas to the fibula (e.g., lung, breast, prostate, renal, and thyroid) remain exceedingly rare but must be considered in the differential diagnosis of a destructive, permeative fibular lesion in an older adult.



The successful execution of a Type I resection demands a profound, three-dimensional understanding of the regional anatomy, particularly the relationship between the proximal fibula, the lateral ligamentous complex of the knee, and the common peroneal nerve. The overarching goal of this procedure is strictly twofold: to achieve wide oncologic margins to prevent local recurrence, and to reconstruct the lateral stabilizing structures of the knee to prevent devastating postoperative varus and posterolateral rotatory instability.


Surgical Anatomy and Biomechanics
A rigorous command of fibular anatomy and its surrounding soft-tissue envelope is the absolute cornerstone of safe and effective oncologic resection. The fibula is anatomically and functionally divided into three distinct zones: the proximal fibula, the fibular diaphysis, and the distal fibula. Each zone presents unique surgical challenges, compartment boundaries, and biomechanical considerations.
Proximal Fibula Anatomy
The proximal fibula, comprising the fibular head, neck, and proximal metaphysis, acts as an essential stabilizing pivot point for the posterolateral corner (PLC) of the knee. It serves as the primary attachment site for the fibular collateral ligament (FCL/LCL), the biceps femoris tendon, the popliteofibular ligament, and the arcuate ligament. The conjoined insertion of the LCL and biceps femoris onto the fibular styloid process dictates lateral knee joint stability, resisting varus stress, external tibial rotation, and posterior tibial translation.
The most critical anatomical structure in this region is the common peroneal nerve (CPN). As the nerve descends from the popliteal fossa, it courses obliquely along the medial border of the biceps femoris tendon. It then wraps superficially around the fibular neck, passing deep to the tendinous origin of the peroneus longus muscle to enter the peroneal tunnel. Within this fibro-osseous tunnel, the nerve bifurcates into the superficial and deep peroneal nerves, which supply the lateral (eversion) and anterior (dorsiflexion) compartments of the leg, respectively.



During a Type I resection, the CPN must be meticulously identified, neurolysed, and protected, unless oncologically compromised. The anterior tibial artery, a terminal branch of the popliteal artery, also passes in close proximity to the proximal fibula, traversing the hiatus in the interosseous membrane from the posterior to the anterior compartment. Ligation of the anterior tibial recurrent artery is universally necessary to mobilize the neurovascular bundle safely without tethering.



Fibular Diaphysis Anatomy
The fibular diaphysis acts primarily as a rigid strut for muscle origins and plays a minor role in axial load bearing, transmitting approximately 10% to 15% of the body's weight during the stance phase of gait. It is circumferentially surrounded by dense muscular origins across all anatomic compartments. The anterior surface provides origin to the extensor digitorum longus, extensor hallucis longus, and peroneus tertius. The lateral surface is the origin for the peroneus longus and brevis. The posterior surface gives rise to the soleus, flexor hallucis longus, and tibialis posterior. Resection of the fibular diaphysis (Malawer Type II resection) requires systematic detachment of these muscles, maintaining an appropriate cuff of normal tissue over the tumor pseudocapsule to ensure negative margins.



Distal Fibula Anatomy
The distal fibula forms the lateral malleolus, a highly subcutaneous structure with a minimal soft tissue envelope, making tumors in this region highly palpable but challenging to resect with adequate margins. It is integral to the stability of the ankle mortise. The distal fibula serves as the attachment site for the anterior and posterior inferior tibiofibular ligaments (the syndesmosis), as well as the anterior talofibular ligament (ATFL) and calcaneofibular ligament (CFL). Resection of tumors in this location (Malawer Type III resection) often necessitates complex reconstructive efforts, such as osteoarticular allografts, vascularized fibular autografts from the contralateral limb, or tibiotalar arthrodesis, to restore lateral ankle joint stability and preserve ambulation.


Indications and Contraindications
The decision to proceed with a Type I resection of the fibula hinges on a delicate balance between oncologic safety and functional preservation. Patient selection must be rigorous, utilizing a multidisciplinary tumor board approach involving orthopedic oncologists, musculoskeletal radiologists, pathologists, and medical oncologists.
Primary Indications
The primary indications for a Type I fibular resection include high-grade primary bone sarcomas (such as osteosarcoma, Ewing sarcoma, and dedifferentiated chondrosarcoma) localized to the proximal fibula without encasement of the major neurovascular structures. Additionally, aggressive benign tumors, such as Campanacci Grade III giant cell tumors or recurrent aneurysmal bone cysts that have destroyed the fibular head cortex and cannot be managed with intralesional curettage, are excellent candidates for this procedure. Isolated solitary metastases to the proximal fibula in patients with controlled systemic disease may also be managed with a palliative or curative-intent en bloc resection.



Absolute and Relative Contraindications
Absolute contraindications to limb-sparing Type I resection include circumferential encasement of the popliteal artery or the tibioperoneal trunk by the tumor, which would necessitate a major vascular resection that cannot be bypassed or reconstructed effectively. Extensive soft tissue contamination from a poorly placed prior biopsy or a massive fungating tumor that precludes achieving negative margins without sacrificing the entire leg also warrants amputation.
Relative contraindications include direct tumor extension into the proximal tibiofibular joint with significant invasion of the lateral tibial plateau. In such cases, an extra-articular resection may still be possible, but it requires a concomitant partial lateral tibial plateau resection, drastically increasing the complexity of the reconstruction and the risk of catastrophic joint failure. Encasement of the common peroneal nerve is a relative contraindication; the nerve can be sacrificed en bloc with the tumor if necessary to achieve clear margins, provided the patient is counseled extensively on the resulting foot drop and the need for a permanent ankle-foot orthosis (AFO) or subsequent tendon transfer (e.g., posterior tibial tendon transfer).


Operative vs Non Operative Management
| Clinical Scenario | Recommended Management | Rationale and Considerations |
|---|---|---|
| Campanacci Grade I/II GCT | Non-Operative or Intralesional | Curettage with local adjuvants (phenol/argon beam/cryotherapy) preserves the fibular head and joint stability. |
| Campanacci Grade III GCT | Operative (Type I Resection) | Extensive cortical destruction precludes curettage; high risk of recurrence requires en bloc resection. |
| High-Grade Osteosarcoma | Operative (Type I Resection) | Requires neo-adjuvant chemotherapy followed by wide en bloc resection to ensure oncologic clearance. |
| Popliteal Artery Encasement | Operative (Amputation) | Inability to achieve negative margins without catastrophic vascular compromise dictates above-knee amputation. |
| Asymptomatic Osteochondroma | Non-Operative (Observation) | Serial radiographs to monitor for growth or malignant transformation; surgery only if symptomatic or compressing the peroneal nerve. |


Pre Operative Planning and Patient Positioning
Thorough preoperative planning is the most critical determinant of a successful oncologic outcome. The staging process must include a high-resolution computed tomography (CT) scan of the chest to rule out pulmonary metastases, as well as a whole-body bone scan or positron emission tomography (PET-CT) to identify skip lesions or distant osseous disease.
Advanced Imaging Modalities
Locally, magnetic resonance imaging (MRI) of the entire tibia and fibula, both with and without intravenous gadolinium contrast, is mandatory. The MRI delineates the intraosseous extent of the tumor, the presence of any skip metastases within the medullary canal, and the extraosseous soft tissue extension. Particular attention must be paid to the fat planes separating the tumor pseudocapsule from the common peroneal nerve, the popliteal artery, and the anterior tibial artery. A dedicated CT scan of the affected leg is also recommended to assess cortical destruction, matrix mineralization patterns, and the exact anatomy of the proximal tibiofibular joint.



Biopsy Principles
The preliminary biopsy must be planned with the definitive resection in mind. A core needle biopsy, ideally performed under ultrasound or CT guidance by the treating orthopedic oncologist or a specialized musculoskeletal radiologist, is preferred over an open incisional biopsy to minimize soft tissue contamination. The biopsy tract must be placed longitudinally along the anterolateral aspect of the leg, ensuring that the entire tract can be excised en bloc with the tumor during the definitive Type I resection. Transverse incisions or biopsies that violate multiple anatomic compartments are strictly contraindicated and may unnecessarily convert a limb-salvage candidate into an amputee.


Patient Positioning and Setup
The patient is typically positioned supine on a radiolucent operating table. A bump is placed under the ipsilateral hip to internally rotate the leg slightly, bringing the lateral aspect of the fibula into optimal view. Alternatively, a floppy lateral decubitus position can be utilized if extensive posterior dissection is anticipated. A sterile pneumatic tourniquet is placed high on the proximal thigh but is often not inflated unless significant hemorrhage occurs, as continuous visualization of vascular perfusion is critical during the meticulous neurovascular dissection. The entire limb is prepped and draped free to allow for dynamic manipulation of the knee joint during the procedure.



Detailed Surgical Approach and Technique
The Type I resection is a technically demanding procedure that requires a systematic, step-wise approach to ensure oncologic margins are maintained while preserving the viability of the limb and optimizing the reconstructive bed.
Superficial Dissection and Nerve Isolation
An extensile utilitarian lateral approach is utilized. The incision begins at the distal aspect of the iliotibial band, extends distally over the fibular head, and continues longitudinally along the lateral compartment of the leg, incorporating the prior biopsy tract via an elliptical incision. The subcutaneous tissues are divided in line with the skin incision, maintaining thick fasciocutaneous flaps.
The first and most critical deep step is the identification of the common peroneal nerve. The nerve is located proximal to the tumor, medial to the biceps femoris tendon in the popliteal fossa. Once identified, vessel loops are utilized to provide gentle traction. The nerve is traced distally as it winds around the fibular neck. The fascia over the peroneal compartment is incised, and the peroneus longus muscle is retracted or divided to unroof the peroneal tunnel. The superficial and deep branches of the peroneal nerve are systematically neurolysed and mobilized away from the tumor pseudocapsule. If the tumor directly abuts or encases the nerve, the nerve must be sacrificed to achieve a wide oncologic margin.














You Might Also Like