Mastering First MTP Joint Resurfacing: Arthrosurface HemiCAP Technique for Hallux Rigidus

Key Takeaway
This masterclass details the Arthrosurface HemiCAP resurfacing technique for advanced hallux rigidus. Fellows will learn comprehensive anatomy, meticulous preoperative planning, and a granular, step-by-step intraoperative execution. We'll cover precise instrument use, hardware application, critical pearls, and strategies for managing potential pitfalls and postoperative rehabilitation, ensuring optimal patient outcomes and motion preservation.
Definition
Hallux rigidus is an arthritic condition of the first metatarsophalangeal (MTP) joint. It is the most common form of arthritis affecting the foot.
An estimated 2% to 10% of the general population displays varying grades of hallux rigidus.3,10,12
Anatomy
Hallux rigidus involves the first MTP joint, which comprises the articulation between the first metatarsal head, the proximal phalangeal base, and the sesamoid complex.
Although the proximal phalanx is often involved, the predominant disease involves the dorsal aspect of the metatarsal head with articular cartilage loss and dorsal osteophyte formation (FIG 1).
Pathogenesis
The cause of hallux rigidus is controversial and is likely multifactorial.
Predisposing or associated factors cited in the literature include flat, square-shaped metatarsal head morphology; metatarsus adductus; hallux valgus interphalangeus; positive family history with bilateral condition; and trauma.3,12
FIG 1 • A. Lateral diagram depicting articular cartilage loss and osteophyte along the dorsal aspect of the first MTP joint. B. Frontal view showing dorsal articular cartilage loss extending into the central aspect.*
Isolated or repetitive injury may cause damage to the dorsal aspect of the joint, which leads to altered mechanics (compressive and shear forces increased dorsally). Progressive deterioration of the articular surface, osteophyte formation, and joint contracture ensue.
Natural History
In its early stages, articular cartilage loss is present along the dorsal aspect of the first metatarsal head. As the condition progresses, articular cartilage loss extends to the central aspects of the metatarsal head and lastly the plantar aspect (FIG 2).
FIG 2 • A-C. Varying degrees of articular cartilage loss of the first metatarsal head in hallux rigidus. Radiographic findings often underestimate the extent of disease seen intraoperatively.
66
FIG 3 • A. Dorsal view of foot in hallux rigidus. Shoe wear may cause irritation over the dorsal bony prominence. B. Limited dorsiflexion is noted on the clinical examination.
Although less involved, the proximal phalanx will exhibit varying degrees of articular cartilage loss and dorsal osteophyte formation.
The natural history of hallux rigidus is one of gradual, progressive worsening.11
Patient History and Physical Findings
Patients present with complaints of dull, aching, and, at times, sharp pain along the dorsal aspect of the joint associated with weight-bearing activities.
Complaints of stiffness and development of a painful dorsal bony prominence are characteristic of the condition.
The physical examination reveals tenderness overlying the first metatarsal head with a notable dorsal bony prominence, along with limited range of motion of the first MTP joint, particularly dorsiflexion (FIG 3).
The examiner should assess for pain on midmotion, crepitus, positive first MTP grind test, and plantar tenderness overlying the sesamoids, which represents more extensive disease.
Imaging and Other Diagnostic Studies
Radiographic Grading System for Hallux Rigidus
1
Mild to moderate
Space
preserved
Normal appearance
2
Moderate
<50%
narrowing
Subchondral sclerosis
Weight-bearing anteroposterior (AP), lateral, and oblique views are obtained. The examiner should assess for joint space narrowing, presence of dorsal osteophytes, and joint congruity.
| Grade | Dorsal Osteophyte | Joint Space | Subchondral Bone |
| --- | --- | --- | --- |
3
Marked
>50%
narrowing
Subchondral sclerosis with or without bone cyst
formation
From Hattrup SJ, Johnson KA. Subjective results of hallux rigidus following treatment with
cheilectomy. Clin Orthop Relat Res 1988;226:182-191.
Computed tomography (CT) and magnetic resonance imaging (MRI) advanced imaging studies are generally not obtained. Evaluation with MRI may occasionally be indicated if the radiographs appear normal but suspicion remains for a central osteochondral defect of the metatarsal head. CT scan is occasionally obtained to assess or confirm the presence of severe metatarsosesamoid involvement, which can negatively impact outcomes of joint-sparing procedures by affecting the predictability of pain relief. Patients with severe metatarsosesamoid involvement may be more suitable for an arthrodesis; unless in an effort to preserve motion they can accept a scenario where pain may be reduced with a metatarsal head resurfacing, but some degree of residual plantarbased pain may persist.
Grading Systems for Hallux Rigidus
Clinical grading system: This system by Coughlin and Shurnas3 takes into account the subjective and objective findings of pain, motion assessment, and radiographic features.
Radiographic grading system: The radiographic grading system often used in the literature,7 grades 1, 2, and 3, signify the percentage of joint space narrowing, the presence or absence of subchondral sclerosis or subchondral cyst, and the degree of osteophyte formation (Table 1; FIG 4).
Intraoperative grading system: We have found that the preoperative radiographic grade often underestimates the degree of arthritic involvement of the first MTP joint found
67
at the time of surgery. For this reason, the author (T. P. San Giovanni, unpublished data) has developed an intraoperative grading system for hallux rigidus for more accurate documentation of the location and extent of full-thickness articular cartilage loss on direct visualization (FIG 5). Direct visualization and documentation of the intra-articular hallux rigidus grade provides more accurate and useful information for which to follow clinical outcomes rather than radiographic grades which may be inaccurate due to underestimation of actual extent of cartilage loss. We believe it will serve as a basis for more accurate subject grouping in outcome studies for particular grade-specific procedures. Ultimately, the prognostic value for various procedures can be evaluated on the specific grade actually visualized at surgery and minimizes the interobserver and intraobserver errors typically encountered with other grading systems. This should lead to better evidence-based outcomes research in hallux rigidus surgery and eventually the optimal procedure(s) can be determined and performed based on the specific grade encountered. With well-informed counseling of the patient preoperatively, various surgical options can be provided based on what is encountered intraoperatively. Provided the patient has a solid understanding of the potential procedures and mutually agreed on by patient/surgeon, an intraoperative algorithm can be applied on the hallux rigidus grade encountered, directly visualized during the surgical procedure (Table 2).
FIG 4 • A. Grade 1 hallux rigidus. B. Grade 2 hallux rigidus. C. Grade 3 hallux rigidus. D. Lateral view of hallux rigidus.
FIG 5 • A. Intraoperative grading system for hallux rigidus. B. Examples of grading system. (From San Giovanni TP. Hallux Rigidus: Intraoperative grading system for accurate determination of articular cartilage loss and use for surgical outcome studies. Unpublished data.)
Intraoperative Grading System for Hallux Rigidus
- Metatarsal Grade Full-Thickness Articular Cartilage Loss
1
Dorsal one-third level
2
Central one-third level
3
Plantar one-third level
4
Sesamoid surface - Proximal Phalanx Grade
A
Dorsal one-third level
B
Central one-third level
C
Plantar one-third level
Differential Diagnosis
Gout
Other systemic arthritides (rheumatoid arthritis, psoriatic arthritis, seronegative arthropathy) Posttraumatic arthritis
Arthritis associated with severe hallux valgus or sequelae status post hallux valgus surgery Central osteochondral defect, first metatarsal head
Avascular necrosis of the metatarsal head Sesamoiditis or sesamoid-related pathology Septic arthritis
Soft tissue or bone neoplasm
Nonoperative Management
Nonoperative management of hallux rigidus includes shoe wear modifications, use of anti-inflammatories, orthotics with a Morton extension or carbon fiber plate orthotic, and, rarely, intra-articular cortisone injections.
Surgical Management
When nonoperative management fails to provide adequate symptom relief, the patient and surgeon are faced with choosing from an array of surgical procedures.
68
The most common performed procedure for hallux rigidus is a cheilectomy.
Simple cheilectomy has been proven successful for early stages of hallux rigidus,3,4,7,12,14 although
cheilectomy outcomes are less promising with advanced disease, particularly grade 3.3,10,11 As articular cartilage loss extends to the central and plantar aspects of the joint, the joint deterioration progresses beyond that which a cheilectomy would be expected to adequately treat.
Alternative or adjunctive procedures to cheilectomy include the following: Moberg dorsal closing wedge phalangeal osteotomy13,14,18
Various first metatarsal decompression osteotomies18
Soft tissue interposition arthroplasties and modified oblique Keller resection1,4,9
Proximal phalangeal base hemiarthroplasty12,21 Metatarsal head resurfacing hemiarthroplasty2,6,8,16,17 Total great toe arthroplasty9
First MTP arthrodesis3,12,15
Historically, a first MTP arthrodesis has proven to be the most reliable procedure for providing pain relief in advanced stages (grade 3).3,15 However, many patients find the thought of complete motion loss in exchange for pain relief unacceptable and prefer not to undergo a fusion procedure for this reason alone. This
represents a rather large subset of the hallux rigidus patient population and has been the driving force behind
the development of joint-sparing, motionpreserving procedures.
FIG 6 • A. Arthrosurface HemiCAP DF implant. B. Side view depicting implant design feature of dual radii of curvature along dorsal aspect. C. Change in radius curvature of implant creates additional space dorsally by receding slope.
Alternative surgical solutions that maintain some degree of motion and provide pain relief have been sought in an effort to address this patient subset with advanced disease who refuse to undergo fusion. This has led to the development of various arthroplasty techniques, including soft tissue interposition or implant arthroplasty.
One such implant is the Arthrosurface HemiCAP DF which is a second generation metatarsal head resurfacing implant. The “DF” signifies dorsal flange which provides improved dorsal coverage and prevents reformation of dorsal osteophytes occasionally seen in the original HemiCAP design. In addition, the implant was designed with a unique geometric feature to the dorsal slope of the head where a double radii of curvature was built in. At a point which corresponds to 12 degrees dorsiflexion, the radii of curvature changes effectively, creating built-in dorsal decompression to the implant. The purpose of the double radii is to improve what the senior author calls “passive dorsal roll back” of the proximal phalanx, as it clears and glides over the metatarsal head upon ambulation, thereby reducing the cam effect may expect in a contracted first MTP joint on weight-bearing dorsiflexion (FIG 6*). The HemiCAP DF more anatomically
69
matches the first metatarsal head morphology and was based on a biomechanical study which demonstrates
the center of rotation changes with varying degrees of dorsiflexion.19 The technique for the HemiCAP DF first metatarsal head resurfacing procedure is described in the following text.
Preoperative Planning
History and physical examination are performed with particular attention to the location of pain, midrange motion pain, or significant symptomatic sesamoid involvement.
Range of motion and active and passive dorsiflexion and plantarflexion are recorded preoperatively.
Routine weight-bearing radiographs are assessed for the presence of dorsal osteophytes, the degree of joint space narrowing, joint alignment and congruency, metatarsal length, and sesamoid pathology.
Careful preoperative discussion regarding the patient's goals and expectations are paramount in determining whether individual goals will be met by the procedure. A discussion of the risks and alternative procedures, in particular discussion regarding arthrodesis, is important.
Positioning
The patient is positioned supine with a bump under the ipsilateral hip to rotate the foot to neutral.
A tourniquet is applied; however, we prefer not to use a tourniquet for this particular case if possible. Not using the tourniquet forces the surgeon to obtain excellent hemostasis during the first few minutes of the approach and leads to a drier wound on closure. We believe that postoperative swelling from hemarthrosis or hematoma formation contributes to some degree of the early motion loss seen during the early postoperative period.
Approach
A dorsal longitudinal incision is made centered over the first MTP joint.
The extensor hallucis longus tendon is identified and retracted laterally (FIG 7).
Sharp dissection is carried down just medial to the extensor hallucis longus tendon, and a dorsal longitudinal capsulotomy is performed with soft tissue dissection performed subperiosteally along the medial and lateral aspects of the first metatarsal head.
If a large proximal phalangeal base dorsal osteophyte is encountered upon approach, the phalangeal osteophyte is excised at this time. The metatarsal head osteophyte may be left at this time for it will be removed upon using the dorsal reaming jig, which gives accurate bone preparation for dorsal flange
component of the HemiCAP DF. Alternatively, a small portion of the osteophyte can be excised at this time but not to the depth that it jeopardizes the bony contact of the implant.
After adequate soft tissue releases are performed, the hallux is maximally plantarflexed to expose the joint. The extent of full-thickness cartilage loss is then assessed for the metatarsal side and phalangeal side. The intraoperative grade of hallux rigidus is then assigned and recorded based on a grading system devised by the senior author.
FIG 7 • A,B. Dorsal longitudinal incision. The capsulotomy is done medial to the extensor hallucis longus tendon and the tendon is retracted laterally.*
To release the plantar capsular joint contracture, a curved elevator (McGlamry or flattened spoon-shaped spinal gouge) can be passed between the sesamoids and plantar aspect of the metatarsal head as long as this can be performed carefully without causing iatrogenic injury to the articular cartilage. An offset elevator is provided for this function on the Arthrosurface set. In particularly tight joints, the surgeon may find it easier to performed additional soft tissue release after joint decompression and the trial implant is in place.
70
Techniques
-
Guide Pin Placement for HemiCAP DF
Obtain complete visualization of the metatarsal head with hallux plantarflexion.
Place the centering spherical guide for the 15-mm HemiCAP on the metatarsal head with the feet of the guide in a superoinferior position. A 15-mm guide is used typically; only on rare occasions is a 12-mm guide used as an alternative with an anatomically small head. Alternatively, the guide pin can be placed freehand on surgeon preference.
During this step, particular importance should be paid to (1) location of the starting point and (2) pin trajectory on the AP and lateral views for ultimate alignment of the implant is based off of this first step. The importance of this step cannot be understated. We suggest entering the head only slightly and then checking AP and lateral fluoroscopic images, thereby making adjustments prior to committing. Note: Starting point is more plantar than what appears to be the center of the metatarsal head; also, the inclination angle of the metatarsal is greater than one would think so must drop hand while drilling.

- TECH FIG 1 • Guide pin placement. A. Intraoperative picture of spherical guide placement just above the crista of the first metatarsal. B. AP view of pin placed in line with the long axis of the first MTP shaft. C. Lateral image of pin placed parallel to the long axis of the MTP shaft. The surgeon can drop his or her hand as necessary to match the inclination of metatarsal and midline within the shaft. (continued)
The perimeter of the guide should not violate the metatarsosesamoid complex and its inferior border is
generally seated just above the crista. Avoid malplacement of the guide pin by plantarflexing the guide as necessary to adjust for normal inclination of the metatarsal shaft. It is critical that this be in line with the long axis of the metatarsal shaft on the lateral fluoroscopic view.
Place the centering guide pin on the metatarsal head in line with the long axis of the metatarsal shaft and verify its position on AP and lateral fluoroscopic views. Adjust the guide pin as necessary to obtain correct placement (TECH FIG 1A-E). Pay particular attention to the guide pin lateral view, for there is a tendency to underestimate the degree of inclination of the metatarsal shaft; parallel to the long axis of the shaft is the desired position. Adjust the pin before proceeding.
Use a cannulated step drill over the guide pin and drill to depth so that the proximal shoulder of the drill bit is flush with the articular surface (TECH FIG 1F-J).
71



- TECH FIG 1 • (continued) D. Intraoperative picture of spherical guide for guide pin placement viewed from the side. E. View of guide pin placement from side. F. Fluoroscopic AP view of guide pin placement on AP film. G. Fluoroscopic lateral view of proper guide pin placement. H. A cannulated drill is used over the guide pin. I. The proximal end of the drill bit should stop flush with the remaining articular surface. J. Prepared drill
hole for tapered screw.
72 -
Drill Hole and Placement of Taper Post Screw
Tap the drill hole to the etched line (TECH FIG 2A-C).
Place the tapered screw of the HemiCAP DF implant, gaining purchase within the distal metatarsal bone. Bring the line indicator on the screwdriver just flush with the depth of the remaining articular surface level (TECH FIG 2D,E).



- TECH FIG 2 • A. A tap is used within the first metatarsal head, stopping at the etched line on the driver when flush with the plantar articular surface. B. A taper post screw is placed to the etched line when flush with the joint surface. C. Intraoperative use of tap to etched line using inferior aspect as reference point. D. Intraoperative screw placement. E. The screw is stopped when the etched line is flush with the remaining joint surface using the inferior aspect as the reference point. F. Screw can be advanced past etched line if bony decompression desired. Each one quarter-turn past the line equals 1 mm additional joint decompression. (continued)
73
- TECH FIG 2 • (continued) G-I. Space can be created within joint by decompression of metatarsal side. Example depicts 2 mm additional decompression from previous joint line by advancement of screw by half turn past etched line, followed by surface reaming preparation and final impression following placement of implant.
-
Depth and Metatarsal Head Surface Measurements
Remove the guide pin and place the trial button cap to confirm the correct depth of the screw. Place the peak height of the trial cap flush or slightly countersunk to the level of the existing articular cartilage surface. The depth can be adjusted simply by either advancing or backing out the screw, with each quarterturn accounting for 1 mm.
Note: With experience of the procedure, it has become more routine at this step to decompress at least 2 to 3 mm by advancing the screw one-half to three quarter-turns past the etched line (TECH FIG 2F-I).
This can be performed at this early step in the procedure particularly with very contracted joints and/or those with a long/equal length first metatarsal relative to the second metatarsal. This can also be performed later in the procedure with the trial in place upon assessing motion. If decompression is performed from the start, the implant will appear recessed upon placement of the trial component. Do not be concerned by this appearance; the excess bone medially, laterally, and plantarly is excised using a microsagittal saw blade (the crista may be excised if blocking fluid motion following decompression).
Place the centering shaft pin through the cannulated portion of the screw to act as a centering point for measuring the radii of curvature of the metatarsal head at four index points. This measures the geometric shape of the metatarsal head, assessing superior, inferior, medial, and lateral dimensions.
Slide the contact probe device through the centering pin; this measures the distance at these four points pivoting at 90-degree intervals (TECH FIG 3). This should be measured at the 3 o'clock, 6 o'clock, 9 o'clock, and 12 o'clock positions. Of note, the probe is used to determine the articular joint line level. The superior 12 o'clock position may be inaccurate due to the degree cartilage loss. Upon measuring the inferior 6 o'clock position, the probe tip should be placed just to the side of the crista and not directly on top in order to give an accurate reading. Record the numbers and choose the closest match to the provided implant size. Note: Choose the largest number measured in the superior and inferior and medial and lateral dimensions. In most cases, we tend to use the 4.5-mm surface reamer and place either a 1.5-
× 4.5-mm or 2.5- × 4.5-mm implant. The 4.5 mm corresponds to the superoinferior geometry which slopes
back further dorsally, creating an additional built-in dorsal decompression.
Remove the centering shaft pin and place a standard guide pin back within the cannulated portion of the screw.


- TECH FIG 3 • The guide pin is replaced with a wider centering shaft pin. A contact probe is then used to measure the dimensions of the metatarsal head so the proper implant size can be chosen.
-
Surface Preparation of Metatarsal Head
74
A circular surface reamer is then used (TECH FIG 4). The proper size is the largest size measured in either the superoinferior or mediolateral dimensions. For example, if superoinferior measures 4.5 mm and mediolateral 2.5 mm, then use a 4.5-mm circular reamer. Note: It is important to start the reamer before contacting the bone to avoid the remote chance of uncontrolled metatarsal bone blowout if poor bone quality is noted. The depth of the reamer is controlled, for it will stop on its own when contacting the screw.


- TECH FIG 4 • A. A circular reamer is used over the guide pin. B. Start reamer prior to bone contact. There is a built-in stop when it reaches the edge of the screw. C. View after reaming for bone preparation for the HemiCAP. The screw is seen within the metatarsal head, for which the cap will mate with the Morse taper interlock.
-
Surface Preparation of the Dorsal Flange
Place the appropriately size dorsal reamer guide into the cannulated portion of the taper post screw (TECH FIG 5). This should match the same millimeter size used for the surface reaming of the metatarsal head in the prior step. Note: The 3.5-mm dorsal reamer will provide a lesser curvature and the 4.5-mm dorsal reamer will provide a more receding curvature over the dorsal flange.
The guide should be oriented such that the dorsal reamer is at the 12 o'clock position. Be sure this is oriented correctly prior to reaming.
Advance the dorsal reamer to the depth stop.
Once the dorsal reamer has advanced to the handle, immediately stop the cannulated power drill and removed the dorsal reamer guide.
75



- TECH FIG 5 • A. Dorsal reamer guide. Shaft fits into cannulated aspect of screw, reamer angled to eliminate bone along the dorsal aspect to match dorsal flange of implant. B. Side view of dorsal reamer in use. Start reamer prior to bone contact. Internal built-in stop. C. Frontal oblique view of dorsal reamer properly positioned. D. Intraoperative view following dorsal reaming. All surfaces now prepared for placement of trial implant. E. Formal HemiCAP implant is tamped into place, forming a Morse taper interlock with the previously seated screw.
-
Placement of Trial Component, Bone Excision, and Motion Assessment
Confirm the trial size component so that it is congruent with the edge of the surrounding articular cartilage or slightly recessed (TECH FIG 6A).
Remove excess bone around trial component using a microsagittal saw blade and/or rongeur. Any prominent bone along the dorsomedial/dorsolateral/medial/lateral and plantar aspects is removed in an effort to eliminate any source of bony impingement as the hallux is brought into dorsiflexion. Note: The author typically chamfers the medial eminence and lateral head using the trial component edge as its border. Often times,
76
the crista along the plantar aspect is excised as well for it may impede fluid motion (particularly if the joint has been decompressed) (TECH FIG 6B-D).



- TECH FIG 6 • A. Trial component placed. B. Excess bone along the dorsal, medial, lateral, and plantar aspects is removed with a microsagittal saw, osteotome, or rongeur, leaving an area of perimeter of bone to enclose the implant. C,D. Frontal and side view following excision of excess bone around perimeter of trial implant.
Assess dorsiflexion of the hallux with passive motion in the non-weight bearing and simulated weight-bearing mode by using a firm sterile surface. If motion still appears restricted, where the hallux cannot be dorsiflexed to 70 to 80 degrees relative to long axis of the first metatarsal, perform a gentle sustained dorsiflexion stretch to allow for soft tissue adaptation. This should be performed without considerable force. If still restricted, consider performing an additional soft tissue releases and/or bony decompression.
With the trial implant in place to protect the bone preparation, soft tissue release of plantar joint contracture can be performed to gain additional motion in severely contracted joints. (TECH FIG 7). In the space between the plantar aspect of the metatarsal head and the sesamoids, a McGlamry-type elevator, flattened spoon-shaped spinal gouge, or Kapner gouge can be passed to free up the plantar contracture proximally. The motion is then reassessed. If required, the plantar joint contracture can be released distally along the base of the proximal phalanx in a similar manner by carefully elevating subperiosteally with care to stay directly against the bone. This may be used to “reset” the tension of the contracted plantar capsule and flexor hallucis brevis (FHB) tendon. If more dorsiflexion is required following plantar
capsular release, consider additional joint decompression via bone decompression.
Additional joint decompression can be performed by removal of the trial cap component, advancing the screw (each quarterturn equals 1 mm additional decompression); repeat steps of using the appropriate-size surface reamer and dorsal reamer for bone preparation. Place the trial component again and reassess motion until desired motion is obtained.
77


- TECH FIG 7 • A. Plantar soft tissue release is performed on metatarsal side using McGlamry elevator between metatarsal head and sesamoid. B,C. Hallux is maximally plantarflexed and soft tissue release performed along phalangeal side using blunt-tipped Kapner spinal gouge directly along bone of plantar aspect proximal phalangeal base.
-
Placement of Formal Metatarsal Head HemiCAP Component
The suction device hose is used to hold the implant to the delivery device with attached red suction cup. The suction tubing is detached once the formal component cap is properly positioned within the screw in the correct orientation (TECH FIG 8A-D).
Place the formal HemiCAP DF cap component by seating the cap using the impactor device as it forms a Morse taper interlock with the neck of the taper screw. A final check for any prominent bone edges may be excised. The final range of motion of the hallux is assessed and recorded. An intraoperative lateral picture in maximal dorsiflexion may be taken and shown to patient in postoperative period. This demonstrates to them what was obtained in surgery and helps motivate them to perform aggressive motion exercises early in the postoperative period (TECH FIG 8E-K).


- TECH FIG 8 • A,B. Intraoperative views demonstrating complete bone preparation for implant following removal of trial component. C. The Hemi-CAP implant is placed in the suction delivery device. (continued)
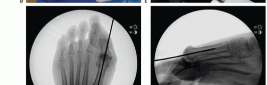
Obtain final AP and lateral fluoroscopic images to confirm alignment of the HemiCAP DF device. A maximally dorsiflexed lateral view may also be obtained (TECH FIG 9).
78



- TECH FIG 8 • (continued) D. Formal HemiCAP DF implant is placed within screw segment E. Impactor is used to seat and lock in Morse taper interlock between cap and screw. F. Formal HemiCAP DF implant. G. Excision of excess bone may need to be performed at times following seating of formal component. H-J. Frontal, medial, oblique, and side views of the DF implant. K. Dorsiflexion range of motion assess following placement of HemiCAP DF implant.
79


- TECH FIG 9 • Intraoperative fluoroscopic views following HemiCAP DF resurfacing. A. AP view. B. Lateral view neutral. C. Lateral view dorsiflexion.
PEARLS AND PITFALLS
| |
| Indications
| 1. Evaluate for advanced arthritis of the metatarsosesamoid articulation. Failure to recognize this may lead to a poor result with persistent plantar joint pain. This patient would be a better candidate for arthrodesis.
2. Carefully review the patient's expectations preoperatively. Although the patient's pain may be reduced from preoperative status, any joint-sparing procedure carries the risk of some degree of residual pain, whether occasional or daily. If the patient cannot accept the possibility of some degree of residual pain, he or she may be a better candidate for arthrodesis. It would be difficult for any joint-sparing procedure to reach the same predictability of pain relief that an arthrodesis delivers, yet an arthrodesis does not deliver any degree of motion
| preservation. Different patients have different goals and expectations; the varying importance that the patient place on pain relief and motion preservation can help determine whether they are a better arthroplasty or arthrodesis candidate.
| Guide pin placement | 1. Avoid malposition of the implant by verifying that the guide pin placement is in line and parallel to the first metatarsal shaft axis on AP and lateral fluoroscopic views before drilling and placing the taper post screw. A common tendency is to underestimate the metatarsal inclination on the lateral view as well as making the starting point too dorsal. |
| --- | --- |
| Intraoperative motion | 1. Soft tissue contracture: Release a plantar joint contracture with a curve elevator between the sesamoid and metatarsal region. Avoid iatrogenic injury to the sesamoid articular surface. Consider subperiosteal release along the plantar base of proximal phalanx, staying directly along bone with a small elevator. |
2. Peri-implant bone excision: After placement of the HemiCAP DF, carefully excise all surrounding bone around the dorsal, medial, and lateral aspects of the implant for thorough bony decompression in an effort to lessen the chances of residual bony impingement against the proximal phalanx. Leave a small rim of bone along the implant perimeter for cap stability.
Postoperative swelling and hemarthrosis
| 1. No tourniquet: Postoperative swelling and hemarthrosis tend to restrict early joint motion. Performing the case without a tourniquet forces the surgeon to obtain excellent hemostasis upon the approach and leads to a drier wound on closure. Less postoperative swelling may reduce the degree of motion lost commonly seen postoperatively by allowing for improved early range of motion.
Postoperative motion
| 1. Early range-of-motion exercises are initiated within days.
2. Exchange the initial postoperative dressing for a light waterproof OpSite dressing within 2 to 3 days postoperatively. Apply it along the dorsal incision site only, so as not to hinder early motion due to a bulky restrictive dressing.
80
Postoperative Care
A compressive dressing is placed intraoperatively.
The dressing is changed at 2 to 3 days postoperatively for a light dressing along the dorsal incision only with a waterproof
OpSite (FIG 8). This allows for less restriction due to the bandage and encourages early range of motion.
Early range-of-motion exercises are emphasized in an effort to preserve the motion gained intraoperatively. Some degree of motion loss is anticipated postoperatively from its intraoperative measurements, although every effort is made to minimize this amount.
We have found the first 2 to 3 weeks to be a critical period for maintaining motion. Swelling, hematoma, or hemarthrosis that occurs within the joint postoperatively contributes to the loss of motion seen after surgery. Recent attempts to minimize this with strict hemostasis and an early motion protocol are encouraged. Patients are instructed to begin toe motion exercises early at home several times per day, in addition to formal physical
therapy. Physical therapy and rehabilitation continue until the patient reaches a normal gait pattern and range of motion is maximized.
Patients are allowed to bear weight immediately on the heel of a rigid postoperative shoe or sandal. Between 3 and 4 weeks, the patient is transitioned to a running or jogging type of sneaker with a solid supportive sole.
Radiographs are obtained at 1, 6, and 12 weeks postoperatively. Subsequent radiographs are obtained at 6 months, 1 year, and 2 years postoperatively.
The patient should avoid placing high-impact stress on the joint, such as running, jogging, or sports involving pivoting and cutting, for at least the first 3 to 4 months postoperatively.
FIG 8 • The initial dressing is changed to a light dorsal postoperative dressing so as not to restrict early motion. A waterproof sealed OpSite is used.*
Outcomes
A study by Hasselman and Shields6 reported on 25 of their first 30 patients. At 20 months follow-up, the patients showed a postoperative motion increase of 42 degrees (from 23 degrees preoperatively to 65 degrees postoperatively). Significant improvement in visual analog scale, American Orthopaedic Foot and Ankle Society (AOFAS), and SF-36 scores were noted. All patients in this series claimed to be very satisfied with their results. Of note, an unspecified number of patients in this HemiCAP series underwent concomitant interpositional soft tissue grafting of the phalangeal side if considerable phalangeal
involvement was noted. Kline and Hasselman8 later reported on 26 implants (30 patients) with a 100% satisfaction rate at 60-month follow-up. No evidence of radiographic loosening or component subsidence was noted. Patients with greater than 50% phalangeal involvement underwent additional soft tissue interposition of the phalanx surface with a slip of extensor digitorum brevis tendon.
Carpenter et al2 reported on 32 implants and 30 patients. Seventy-two percent of implants were for grade 3 hallux rigidus and 28% for grade 2. At an average follow-up of 27.3 months, significant improvements in AOFAS scores were noted. No implants were had to be revised or removed, and all patients stated they
were satisfied with the outcome. Carpenter et al2 concluded that first metatarsal head resurfacing in combination with joint decompression, soft tissue mobilization, and débridement resulted in excellent satisfaction levels in patients with grades 2 and 3 hallux rigidus.
The results of our follow-up study17 on 36 patients using the first-generation HemiCAP at an average of 45 months were less favorable than those of the previously cited studies, although fair satisfaction rates were achieved in this patient population that had refused to consider fusion. Good to excellent results were noted in 76% of patients, 12% fair, and 12% poor. We found a modest increase in dorsiflexion motion averaging 26 degrees (from 20 degrees preoperatively to 46 degrees postoperatively), along with improvement in visual analog scale scores from an average before surgery of 6.3 to an average of 2.2 after surgery. Although complete pain relief was not noted in most patients, the reduction of pain in the majority of the patients led to an overall satisfaction rate of 80% for the procedure at a follow-up of nearly 4 years. Intermediateterm radiographic evaluation of the HemiCAP prosthesis in 56 patients demonstrated no significant evidence of loosening; it appeared to show superior radiographic results
compared to those of other metallic implants using a stemmed design.17
Occasional evidence of regrowth of bony osteophytes along the dorsal perimeter of the first-generation implant was noted. This issue was eliminated with the current second-generation
81
HemiCAP DF due to the dorsal flange. Several patients displayed some degree of progressive chondral surface loss on the apposing proximal phalangeal base. Rather than loosening, progressive cartilage loss on the phalangeal surface remains the main issue associated with significant persistent pain and less-than-satisfactory results. Besides advanced metatarsal head involvement, if significant cartilage loss is noted on the phalanx at the time of the index procedure (intraoperative grades 2B, 2C or 3B, 3C), the use of a dermal allograft soft tissue interposition coverage of the phalangeal articular surface appears to add to the pain relief gained with the metatarsal head resurfacing. The authors have used this combination in recent years to improve patient satisfaction while awaiting for the release of the total toe arthroplasty design.
When pain relief is the foremost goal of the patient, first MTP joint arthrodesis is the most predictable procedure for complete pain relief in advanced stages of hallux rigidus.
When pain relief and preservation of motion are the desired goals, metatarsal head resurfacing can provide a reduction in pain and satisfactory outcome in a patient with modest expectations. We have found that the additional use of a dermal soft tissue allograft on the phalangeal side improves the pain reduction results when used with HemiCAP metatarsal resurfacing in those with phalangeal involvement of grades B or C. The U.S. Food and Drug Administration (FDA)-cleared Arthrosurface ToeMotion total toe arthroplasty implant may prove to provide predictable pain relief and low rates of loosening in the scenario of advanced involvement of both sides of the joint.
It is critical to clearly explain to the patient preoperatively the differences between a fusion and an arthroplasty. As with all arthroplasty or joint-sparing procedures (whether soft tissue interposition or implant), if the patient is unwilling to accept less-than-complete pain relief as a risk, then continued nonoperative treatment should be considered until a more predictable option becomes available or the patient accepts a fusion. In their effort to avoid a fusion and maintain motion, if they do not appear to show a reasonable understanding of modest expectations preoperatively, then they will certainly not postoperatively.
Unlike other metallic prosthetic implants or silastic implants, the HemiCAP did not display significant evidence of loosening. In fact, quite the opposite is evident on instances of removal, where the implant cap/screw will usually have excellent bio-ingrowth at times, making removal difficult. This should not be confused with failure secondary to loosening; rather, the mode of failure in cases in which patients were not satisfied proved to be secondary to persistence of pain or lack of adequate pain relief. The predominant mode of failure has been progressive chondral wear of the apposing phalangeal base which accounted for the residual pain seen in some patients. Given that this resurfaces only one side of the joint, certain obvious factors such as progressive changes to the surface not resurfaced (proximal phalanx) may lead to incomplete pain relief at the time of index procedure or gradual pain on disease progression. For instance, the implant may not fail, but the procedure may fail to deliver the desired goal if significant phalangeal involvement is present or develops over time.
Given the lack of significant rates of loosening seen with this implant, recent FDA approval has been obtained for a novel total toe arthroplasty design (Arthrosurface ToeMotion Total Toe Arthroplasty) using the same tapered screw fixation method within proximal phalanx (FIG 9). A proximal phalangeal component with polyethylene insert was created as a complement to the metatarsal HemiCAP DF implant in an effort to address progressive arthritic changes of the proximal phalangeal articular surface. When significant involvement of both sides of the joint are seen at the time of the index procedure, use of the ToeMotion total toe arthroplasty design would be more appropriate than a hemiarthroplasty alone with the desired goal of providing a more predictable procedure for pain relief.
Loosening and malalignment have been the main mechanisms of failure with other first MTP joint implants using stemmed or finned fixation methods. There are indeed perceivable differences of bone density and quality within the metatarsal head/neck compared with that of the proximal phalangeal base. Respecting these differences, secure rigid fixation within the first metatarsal and proximal phalanx that allows for early motion along with a more advanced understanding of first MTP joint kinematics should lead to lower rates of complications and higher rates of patient satisfaction than previously seen.
Proper patient selection is paramount to the success of this procedure and adequate time should be given toward discussion of patient's goals and expectations. This joint can be very unforgiving, along with the patient attached to it, if their anticipated goals are set too high or expectations are unrealistic.
Conversely, the senior author has found this to be a very rewarding procedure in properly selected patients when strict adherence to technique is followed and modest goals and expectations are set. The success of the procedure relies on placement of a “well-aligned implant in a wellaligned joint in a wellaligned patient.”
The lack of radiographic loosening is encouraging with this design. Having made significant strides in tackling the main issue of first MTP joint implant failure (implant loosening), the HemiCAP DF served as the model for design development of the FDA-cleared ToeMotion total toe arthroplasty. As long as loosening rates are kept at a minimum and proper alignment is maintained, resurfacing both sides of the arthritic first MTP joint should improve the predictability of pain relief and satisfaction rates in those patients with advanced hallux rigidus desiring preservation of motion as an alternative to joint fusion.
Complications
Early Complications
FIG 9 • A. Arthrosurface ToeMotion total toe arthroplasty implant. Inlay arthroplasty using taper screw-based fixation and modular polyethylene insert. (continued)
82
FIG 9 • (continued) B-E. Radiographs of ToeMotion total toe arthroplasty.
Arthrofibrosis (not unique to procedure, seen as complication in many hallux rigidus procedures.
Adequate soft tissue releases, bone-joint decompression, and early postoperative motion can lessen the incidence.)
Residual joint pain (moderate to severe) which persists beyond the expected postoperative period. In our experience, the pain source in these patients has been due to the level and extent of the articular cartilage loss on the phalangeal side. Difficulty to manage a two-sided joint disease with a one-sided procedure. Significant residual joint pain may be present in some patients if extensive proximal phalangeal surface involvement extended to the central (grade level B) or plantar (level C). To minimize this occurrence and improve predictability of patient's pain relief, the author's suggestion is to discuss with patient preoperatively that if intraoperative grade 2C or 3C is encountered at the time of surgery, either perform a HemiCAP first metatarsal head resurfacing combined with soft tissue interposition resurfacing of the proximal phalangeal surface versus proceeding with a total toe arthroplasty in an effort to address both sides of the joint.
Sesamoiditis (usually transient unless significant preexisting metatarsosesamoid arthritis; transient occurrence may be due to increased sesamoid motion stress as MTP joint dorsiflexion improved following years of long-standing restricted motion)
Angular deformity (hallux valgus or hallux varus; can see extension deformity with dorsal capsular scarring or extensor tendon contracture)
Lateral transfer metatarsalgia (avoid excessive shortening; can also be a late complication)
Late Complications
Progressive arthritic changes proximal phalangeal articular surface
Periprosthetic dorsal osteophyte formation (noted in first-generation HemiCAP implant, not noted in secondgeneration HemiCAP DF due to dorsal flange)
Metallosis (can occur as a rare late complication if progressive phalangeal surface wears down and metatarsal resurfacing implant contacts a staple or screw used for an Akin or Moberg phalangeal osteotomy)
Loosening (uncommon in early to intermediate follow-up studies)
83
Salvage Options for Pain Following Metatarsal Resurfacing
First and foremost, determine the mode of failure and/or source of painful symptoms.
Distinguish between implant failure versus failure of the procedure to result in the desired level of pain relief. In the latter, the implant may be stable and therefore can be retained while addressing the opposite side of the joint which is likely the painful source.
The most common source of pain is progressive chondral loss on the phalangeal articular surface or pain from arthritic metatarsal sesamoid complex.
Several intermediate-term follow-up studies have shown that loosening is an uncommon mode of failure with this implant design. In fact, in the majority of cases where the implant has been removed, the challenge has been significant bone ingrowth to the taper screw rather than loosening. Because of the ingrowth, attention must be given to careful removal of the screw, for significant torque can be generated on the first few back turns. If the implant is well positioned and has no evidence of loosening, in certain salvage procedures, the implant may be retained.
Dependent on the source of pain, stability of the implant, and the patient's desire to either retain or remove the
implant; several surgical options exist presently.
FIG 10 • A,B. Dermal soft tissue allograft cut and mattress sutures placed. C. Criss-cross drill holes made with a K-wire at phalangeal base from dorsal to plantar. Suture passer passed through 18-gauge needle. D. Graft placed to cover articular surface of proximal phalanx, and sutures drawn up from plantar to dorsal through drill holes. (continued)*
Surgical Options
Implant retained and soft tissue interposition coverage of arthritic phalangeal articular surface (FIG 10)
Implant is retained and conversion to total toe arthroplasty by placing matching proximal phalangeal metal component with polyethylene insert. If first-generation design, will need to exchange to HemiCAP DF to match the phalangeal and polyethylene component (FIG 11).
Implant removal and conversion to first MTP arthrodesis (FIG 12). Have freeze-dried allograft femoral head or iliac crest available. The author has had excellent results with intercalary allograft in the few instances where patients desired the implant to be removed due to pain. After implant removal and adequately preparing the joint, the approximate bone gap measured 2.0 to 2.5 cm. We have simply used a structural allograft (freeze-dried femoral head or iliac crest) cut to size and contoured using convex/concave reamer system to maintain hallux length on implant removal. In our experience, this has not been a complex procedure yet requires the appropriate graft and equipment for the case to flow smoothly.
Final Comments
Given that this procedure only resurfaces one side of the joint, if significant cartilage loss is present opposite that of
84 85 86
the implant, the predictability of pain relief would not be expected to reach that of an arthrodesis. However, pain relief alone is not the only thing that matters to this subset of hallux rigidus patients. Typically, these are the patients that outright refuse the option of an arthrodesis and would not be satisfied with the motion an arthrodesis provides. Pain relief and motion are the desired goals; a much different patient group than those willing to accept a fusion from the start. Extremely high percentages of patient satisfaction is more difficult to achieve in this group compared to arthrodesis patients, for these are truly two separate subgroups in terms of desired goals and expectations. Even if they have identical clinical or radiographic grades, the subject groups in comparative studies of arthrodesis versus joint-sparing procedures may never be truly comparable for this reason; this is rarely discussed when interpreting the results of these studies but is more obvious to those in clinical practice treating these two groups of patients. Similar to the resurgence of interest in total ankle arthroplasty, continued progress needs to be made for the development of predictable joint-sparing implant arthroplasty for hallux rigidus. As we gain better understanding of the nuances of the first MTP joint, this goal will be reached.
FIG 10 • (continued) E-G. Sutures are tensioned and tied over bony bridge then brought through dorsal graft with free needle and tied again. Top, frontal, and side views of final interpositional resurfacing of phalangeal surface.
FIG 11 • A. HemiCAP conversion to ToeMotion total toe arthroplasty. HemiCAP DF must be used on metatarsal side to match phalangeal component with polyethylene insert. Centralized pin is placed within proximal phalanx.
* B. Phalangeal reamer is used for inlay phalangeal component. C,D. Following tapping, taper screw-based phalangeal tray component is placed. (continued)
FIG 11 • (continued) E,F. Following assessment with modular trials, polyethylene insert chosen and placed with delivery device which locks into phalangeal tray. G. Final components for ToeMotion implant.
FIG 12 • A. Patient developed arthrofibrosis and persistent pain despite proper implant alignment and no evidence of loosening. Elected for implant removal and conversion to fusion. B,C. Implant removed and intercalary allograft placed to maintain hallux length. Freeze-dried femoral head allograft used. Prepared with convex/concave reamers and stabilized with dorsal plate fixation. Solid bone fusion noted on AP and lateral radiographs. Weil osteotomy performed on second metatarsal and proximal interphalangeal (PIP) arthrodesis to address lateral transfer metatarsalgia and semirigid hammer toe deformity.
FIG 12 • (continued)*
Scientific References
- 1. Berlet GC, Hyer CF, Lee TH, et al. Interpositional arthroplasty of the first metatarsophalangeal joint using regenerative tissue matrix for the treatment of advanced hallux rigidus. Foot Ankle Int 2008;29:10-21. [View Source / PubMed]
- 2. Carpenter B, Smith J, Motley T, et al. Surgical treatment of hallux rigidus using a metatarsal head resurfacing implant: mid-term follow-up. J Foot Ankle Surg 2010;49:321-325. [View Source / PubMed]
- 3. Coughlin MJ, Shurnas PS. Hallux rigidus. Grading and long-term results of operative treatment. J Bone Joint Surg Am 2003;85-A(11): 2072-2088. [View Source / PubMed]
- 4. Easley ME, Davis WH, Anderson RB. Intermediate to long-term follow-up of medial-approach dorsal cheilectomy for hallux rigidus. Foot Ankle Int 1999;20:147-152. [View Source / PubMed]
- 5. Hamilton WG, O'Malley MJ, Thompson FM, et al. Roger Mann Award 1995. Capsular interposition arthroplasty for severe hallux rigidus. Foot Ankle Int 1997;18:68-70. [View Source / PubMed]
- 6. Hasselman C, Shields N. Resurfacing of the first metatarsal head in the treatment of the hallux rigidus. Tech Foot Ankle Surg 2008;7:31-40. [View Source / PubMed]
- 7. Hattrup SJ, Johnson KA. Subjective results of hallux rigidus following treatment with cheilectomy. Clin Orthop Relat Res 1988;(226): 182-191. [View Source / PubMed]
- 8. Kline AJ, Hasselman CT. Metatarsal head resurfacing for advanced hallux rigidus. Foot Ankle Int 2013;24(5):716-725. [View Source / PubMed]
- 9. Konkel KF, Menger AG, Retzlaff SA. Mid-term results of Futura hemigreat toe implants. Foot Ankle Int 2008;29:831-837. [View Source / PubMed]
- 10. Lau JT, Daniels TR. Outcomes following cheilectomy and interpositional arthroplasty and hallux rigidus. Foot Ankle Int 2001;22: 462-470. [View Source / PubMed]
- 11. Mann RA, Clanton TO. Hallux rigidus: treatment by cheilectomy. J Bone Joint Surg Am 1988;70(3):400-406. [View Source / PubMed]
- 12. Mann RA, Coughlin MJ, DuVries HL. Hallux rigidus: a review of literature and a method of treatment. Clin Orthop Relat Res 1979;(142):57-63. [View Source / PubMed]
- 13. Moberg E. A simple operation for hallux rigidus. Clin Orthop Relat Res 1979;(142):55-56. [View Source / PubMed]
- 14. O'Malley MJ, Basran HS, Gu Y, et al. Treatment of advanced stages of hallux rigidus with cheilectomy and phalangeal osteotomy. J Bone Joint Surg Am 2013;95(7):606-610. [View Source / PubMed]
- 15. Raikin SM, Ahmad J, Pour AE, et al. Comparison of arthrodesis and metallic hemiarthroplasty of the hallux metatarsophalangeal joint. J Bone Joint Surg Am 2007;89(9):1979-1985. [View Source / PubMed]
- 16. San Giovanni TP, Botto-Van Bemden A. First metatarsal head resurfacing: a new technique for surgical management of advanced hallux rigidus. Presented at American Academy of Orthopedic Surgery Annual Meeting, 2006. [View Source / PubMed]
- 17. San Giovanni TP, Marx R, Botto-Van Bemden A, et al. Presented at American Orthopedic Foot and Ankle Society Specialty Day at American Academy of Orthopedic Surgeons Annual Meeting, May 2010, New Orleans, LA. [View Source / PubMed]
- 18. Seibert NR, Kadakia AR. Surgical management of hallux rigidus: cheilectomy and osteotomy phalanx and metatarsal. Foot Ankle Clin 2009;14:9-22. [View Source / PubMed]
- 19. Shereff MJ, Bejjani FJ, Kummer FJ. Kinematics of the first metatarsophalangeal joint. J Bone Joint Surg Am 1986;68:392-398. [View Source / PubMed]
- 20. Thomas PJ, Smith RW. Proximal phalanx osteotomy for surgical treatment of hallux rigidus. Foot Ankle Int 1999;20:3-12. [View Source / PubMed]
- 21. Townley CO, Taranow WS. A metallic hemiarthroplasty resurfacing prosthesis for the hallux metatarsophalangeal joint. Foot Ankle Int 1994;15:575-580. [View Source / PubMed]
You Might Also Like